missing translation for 'onlineSavingsMsg'
Learn More

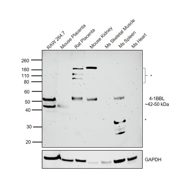
Invitrogen™ 4-1BB Ligand Recombinant Rabbit Monoclonal Antibody (014)

Product Code. 16632884
Change view
Click to view available options
Quantity:
100 μL
Unit Size:
100µL
1 product options available for selection
Product selection table with 1 available options. Use arrow keys to navigate and Enter or Space to select.
Product Code. Quantity unitSize
16632884 100 μL 100µL
Use arrow keys to navigate between rows. Press Enter or Space to select a product option. 1 options available.
1 options
This item is not returnable. View return policy
Product Code. 16632884 Supplier Invitrogen™ Supplier No. MA529838

Please to purchase this item. Need a web account? Register with us today!

This item is not returnable. View return policy

Rabbit Recombinant Monoclonal Antibody

This product is preservative free. It is recommended to add sodium azide to avoid contamination (final concentration 0.05%-0.1%). Recombinant rabbit monoclonal antibodies are produced using in vitro expression systems. The expression systems are developed by cloning in the specific antibody DNA sequences from immunoreactive rabbits. Then, individual clones are screened to select the best candidates for production. The advantages of using recombinant rabbit monoclonal antibodies include: better specificity and sensitivity, lot-to-lot consistency, animal origin-free formulations, and broader immunoreactivity to diverse targets due to larger rabbit immune repertoire. This antibody has specificity for Mouse TNFSF9/4-1BBL.

CD137 ligand (CD137L) is a type II membrane protein and part of the TNF superfamily. CD137L is a co-stimulatory molecule that is expressed on antigen presenting cells (DCs, monocytes/macrophages, B cells) and is upregulated upon activation. Its receptor, CD137/4-1BB, is found on a variety of cells, including inflamed endothelial cells, where its expression enhances extravasation of CD137L expressing monocytes. Activated T cells also express CD137, and engagement with CD137L enhances T cell proliferation, IL-2 secretion, survival, and cytotoxic activity. CD137L is also expressed on a majority of B-cell lymphomas, including mantle cell lymphoma, follicular lymphoma, and diffuse large B-cell lymphoma (but it is lacking on Hodgkin lymphoma and T-cell lymphoma). CD137L is also expressed in carcinoma cell lines, and is thought to be involved in T cell-tumor cell interactions.
TRUSTED_SUSTAINABILITY

Specifications

Antigen 4-1BB Ligand
Applications ELISA, Flow Cytometry, Western Blot, Immunocytochemistry
Classification Recombinant Monoclonal
Clone 014
Concentration 1 mg/mL
Conjugate Unconjugated
Formulation PBS with no preservative
Gene TNFSF9
Gene Accession No. P41274
Gene Alias 4 1 BB Ligand; 4 1 BBL; 41BB Ligand; 4-1BB ligand; 41BBL; 4-1BBL; 4-1BB-L; AI848817; CD 137 Ligand; CD 137L; CD137 Ligand; CD137L; Cd157l; CDw137L; costimulatory molecule; homolog of mouse 4-1BB-L; Ly63l; receptor 4-1BB ligand; TNFRSF9; Tnfsf9; TNLG5A; tumor necrosis factor (ligand) superfamily member 9; tumor necrosis factor (ligand) superfamily, member 9; tumor necrosis factor ligand 5A; tumor necrosis factor ligand superfamily member 9; tumor necrosis factor superfamily member 9
Gene Symbols TNFSF9
Host Species Rabbit
Immunogen Recombinant Mouse TNFSF9 protein (Arg104-Glu309).
Purification Method Protein A
Quantity 100 μL
Regulatory Status RUO
Primary or Secondary Primary
Gene ID (Entrez) 21950
Target Species Mouse, Rat
Content And Storage Store at 4°C short term. For long term storage, store at -20°C, avoiding freeze/thaw cycles.
Product Type Antibody
Form Liquid
Isotype IgG
Show More Show Less
Product Title
Select an issue

By clicking Submit, you acknowledge that you may be contacted by Fisher Scientific in regards to the feedback you have provided in this form. We will not share your information for any other purposes. All contact information provided shall also be maintained in accordance with our Privacy Policy.