missing translation for 'onlineSavingsMsg'
Learn More

4EBP1 Antibody (4B6G10) - BSA Free, Novus Biologicals™

Mouse Monoclonal Antibody

Brand:  Novus Biologicals NBP1-47554-0.025ml

Product Code. 18511581

  • € 187.00 / 25µL

Please to purchase this item. Need a web account? Register with us today!

This item is not returnable. View return policy

Description

Description

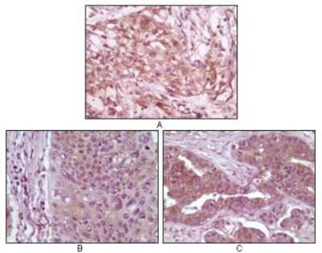
4EBP1 Monoclonal antibody specifically detects 4EBP1 in Human samples. It is validated for Western Blot, ELISA, Immunohistochemistry, Immunohistochemistry (Paraffin)
TRUSTED_SUSTAINABILITY
Specifications

Specifications

4EBP1
Monoclonal
Unconjugated
Ascites
Mouse
Unpurified
RUO
Primary
Human
Purified
Western Blot, ELISA, Immunohistochemistry, Immunohistochemistry (Paraffin)
4B6G10
Western Blot 1:500 - 1:2000, ELISA 1:10000, Immunohistochemistry 1:10 - 1:500, Immunohistochemistry-Paraffin 1:200 - 1:1000
4E-BP1, eIF4E-binding protein 1, eukaryotic translation initiation factor 4E binding protein 1,4EBP1,4E-BP1BP-1, eukaryotic translation initiation factor 4E-binding protein 1, PHAS-IMGC4316, Phosphorylated heat- and acid-stable protein regulated by insulin 1
Purified recombinant fragment of 4EBP1 expressed in E. Coli.
0.025 mL
Cancer, Core ESC Like Genes, DNA Repair, DNA replication Transcription Translation and Splicing, Lipid and Metabolism, mTOR Pathway, Stem Cell Markers
1978
Store at 4°C short term. Aliquot and store at -20°C long term. Avoid freeze-thaw cycles.
IgG1
Product Suggestions

Product Suggestions

Videos
SDS
Documents

Documents

Certificates
Promotions

Promotions

Product Content Correction

Your input is important to us. Please complete this form to provide feedback related to the content on this product.

Product Title

By clicking Submit, you acknowledge that you may be contacted by Fisher Scientific in regards to the feedback you have provided in this form. We will not share your information for any other purposes. All contact information provided shall also be maintained in accordance with our Privacy Policy.

Thank You! Your feedback has been submitted. Fisher Scientific is always working to improve our content for you. We appreciate your feedback.