missing translation for 'onlineSavingsMsg'
Learn More

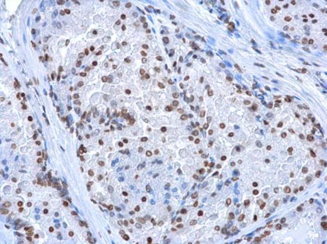
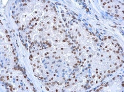
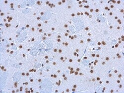
Invitrogen™ 5-hydroxymethylcytosine Monoclonal Antibody (3I7)

Mouse Monoclonal Antibody

Brand:  Invitrogen™ MA523525

Product Code. 15507291

  • € 520.00 / 100µL

Please to purchase this item. Need a web account? Register with us today!

This item is not returnable. View return policy

Description

Description

Store product as a concentrated solution. Centrifuge briefly prior to opening the vial.

5-hydroxymethylcytosine (5-hmC) has been recently discovered in mammalian DNA. 5-hmC results from the enzymatic conversion of 5-methylcytosine into 5-hydroxymethylcytosine by the TET family of oxygenases. Initially, the 5-hmC base had been identified in Purkinje neurons, in granule cells and embryonic stem cells where it is present at high levels (up to 0,6% of total nucleotides in Purkinje cells). A recent report indicates that 5-hmC is also abundant in brain tissue, especially in areas that are associated with higher cognitive functions.Early evidence suggests that 5-hmC may represent an intermediate in a new pathway which demethylates DNA, converting 5-mC to cytosine. Although its precise role has still to be shown, recent results indicate, however, that 5-hmC may play important roles distinct from 5-mC. This may open up entirely new perspectives in epigenetic studies.
TRUSTED_SUSTAINABILITY
Specifications

Specifications

5-hydroxymethylcytosine
Monoclonal
0.81 mg/mL
PBS with no preservative
Mouse
Antigen affinity chromatography
RUO
Chemical
Antibody
IgG2b
Peptide Array, Dot Blot, Immunohistochemistry (Frozen), Immunohistochemistry (Paraffin), Immunomicroscopy, Methylated DNA Immunoprecipitation, Immunocytochemistry
3I7
Unconjugated
5hmc; 5-hmc; 5-HydroxymethylCytidine; C5H7N3O2
5-HydroxymethylCytosine/5-hmC.
100 μL
Primary
Store at 4°C short term. For long term storage, store at -20°C, avoiding freeze/thaw cycles.
Liquid
Chemical
Product Suggestions

Product Suggestions

Videos
SDS
Documents

Documents

Certificates
Promotions

Promotions

Product Content Correction

Your input is important to us. Please complete this form to provide feedback related to the content on this product.

Product Title

By clicking Submit, you acknowledge that you may be contacted by Fisher Scientific in regards to the feedback you have provided in this form. We will not share your information for any other purposes. All contact information provided shall also be maintained in accordance with our Privacy Policy.

Thank You! Your feedback has been submitted. Fisher Scientific is always working to improve our content for you. We appreciate your feedback.