missing translation for 'onlineSavingsMsg'
Learn More
Learn More
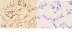
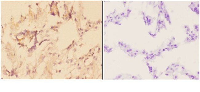
Invitrogen™ ADAMTS10 Polyclonal Antibody

Description
The antibody was affinity-purified from rabbit antiserum by affinity-chromatography using epitope-specific immunogen and the purity is > 95% (by SDS-PAGE).
ADAMTS (a disintegrin and metalloproteinase domain with Thrombospondin type-1 modules) is a family of zinc-dependent proteases that are implicated in a variety of normal and pathological conditions, including arthritis and cancer (1-3). Embryogenesis, morphological growth changes, inflammation, tumor invasion and metastasis involve the breakdown and remodeling of the extracellular matrix. This degradation is due to the family of enzymes known as the matrix metalloproteinases (MMPs), which are related to ADAMTS subtypes. ADAMTS protein family members contain an amino-terminal propeptide domain, a metalloproteinase domain, a disintegrin-like domain and a carboxy-terminus that contains a varying number of thrombospondin type-1 (TSP-1) motifs (1-3). ADAMTS genes are primarily expressed in fetal tissues, including the lung, kidney and liver (1-3). The human ADAMTS10 gene maps to chromosome 19p13.3 (4). The human ADAMTS19 gene maps to chromosome 5q31 (1,5).
Specifications
Specifications
| Antigen | ADAMTS10 |
| Applications | Immunohistochemistry (Paraffin), Western Blot |
| Classification | Polyclonal |
| Concentration | 1 mg/mL |
| Conjugate | Unconjugated |
| Formulation | PBS with 50% glycerol and 0.02% sodium azide; pH 7.2 |
| Gene | ADAMTS10 |
| Gene Accession No. | P58459, Q9H324 |
| Gene Alias | 9430006O18; a disintegrin and metalloproteinase; A disintegrin and metalloproteinase with thrombospondin motifs 10; a disintegrin-like and metallopeptidase (reprolysin type) with thrombospondin type 1 motif, 10; a disintegrin-like and metalloprotease (reprolysin type) with thrombospondin type 1 motif, 10; a disintegrin-like and metalloprotease with thrombospondin type 1 motif, 10; ADAM; ADAM metallopeptidase with thrombospondin type 1 motif 10; ADAM metallopeptidase with thrombospondin type 1 motif, 10; ADAMs; ADAM-TS 10; ADAMTS10; Adam-ts10; ADAMTS-10; AW045948; metalloendopeptidases; WMS; WMS1; zinc metalloendopeptidase; Znmp |
| Gene Symbols | ADAMTS10 |
| Show More |
Product Title
By clicking Submit, you acknowledge that you may be contacted by Fisher Scientific in regards to the feedback you have provided in this form. We will not share your information for any other purposes. All contact information provided shall also be maintained in accordance with our Privacy Policy.
Spot an opportunity for improvement?