missing translation for 'onlineSavingsMsg'
Learn More

Adiponectin Monoclonal Antibody (OTI2E2), TrueMAB™, OriGene

Mouse Monoclonal Antibody

Brand:  Origene Technologies TA804681S

Encompass_Preferred

 View more versions of this product

Product Code. 17594323

  • € 242.00 / 30µL

Please to purchase this item. Need a web account? Register with us today!

This item is not returnable. View return policy

Description

Description

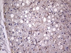
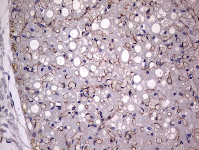
Adiponectin Monoclonal antibody specifically detects Adiponectin in Human samples. It is validated for Immunohistochemistry (Paraffin), Western Blot
Specifications

Specifications

Adiponectin
Monoclonal
1 mg/mL
PBS with 1% BSA, 50% glycerol and 0.02% sodium azide
Q15848
Mouse
Affinity chromatography
RUO
9370
-20° C, Avoid Freeze/Thaw Cycles
IgG1
Immunohistochemistry (Paraffin), Western Blot
OTI2E2
Unconjugated
ADIPOQ
30 kDa adipocyte complement-related protein; 30kDa; Acdc; Acrp30; Ad; adipo; adipocyte complement related protein; adipocyte complement related protein of 30 kDa; adipocyte complement-related 30 kDa protein; adipocyte complement-related protein of 30 kDa; adipocyte, C1Q and collagen domain containing; adipocyte, C1q and collagen domain-containing protein; Adipocyte-specific protein AdipoQ; adiponectin; adiponectin, C1Q and collagen domain containing; Adipoq; Adipose most abundant gene transcript 1 protein; adipose specific collagen-like factor; ADIPQTL1; ADPIOQ; ADPN; Apm1; APM-1; APN; GBP28; Gelatin-binding protein; gelatin-binding protein 28
Human recombinant protein fragment corresponding to amino acids 19-244 of human ADIPOQ produced in SF9 cell.
30 μL
Primary
Human
Liquid
Product Suggestions

Product Suggestions

Videos
SDS
Documents

Documents

Certificates
Promotions

Promotions

Product Content Correction

The Fisher Scientific Encompass Program offers items which are not part of our distribution portfolio. These products typically do not have pictures or detailed descriptions. However, we are committed to improving your shopping experience. Please use the form below to provide feedback related to the content on this product.

Product Title

By clicking Submit, you acknowledge that you may be contacted by Fisher Scientific in regards to the feedback you have provided in this form. We will not share your information for any other purposes. All contact information provided shall also be maintained in accordance with our Privacy Policy.

Thank You! Your feedback has been submitted. Fisher Scientific is always working to improve our content for you. We appreciate your feedback.