missing translation for 'onlineSavingsMsg'
Learn More
Learn More
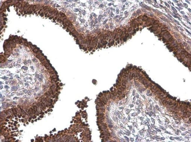
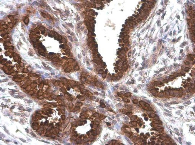
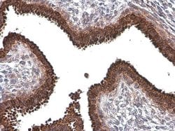
Invitrogen™ AGR2 Monoclonal Antibody (GT5812)

Description
Keep as concentrated solution. Predicted reactivity: Mouse (93%), Rat (93%), Zebrafish (82%), Pig (96%), Rhesus Monkey (99%), Bovine (95%). Positive Control: MCF-7. Store product as a concentrated solution. Centrifuge briefly prior to opening the vial.
AGR2 (anterior gradient protein 2) and AGR3 are members of the anterior gradient homolog family. They are secreted cytoplasmic proteins which are involved in metastasis induction and p53 tumour supressor inhibition. They may serve as molecular markers and potential therapeutic targets for hormone-responsive breast tumours. AGR2 is ubiquitously expressed with upregulated expression in prostate cancer, breast cancer, lung cancer, renal carcinomas and endometrial carcinomas. AGR2 expression is positively correlated with that of the estrogen receptor (ER) and is negatively correlated with that of the epidermal growth factor receptor (EGFR).
Specifications
Specifications
| Antigen | AGR2 |
| Applications | Immunohistochemistry (Paraffin), Western Blot, Immunocytochemistry |
| Classification | Monoclonal |
| Clone | GT5812 |
| Concentration | 1 mg/mL |
| Conjugate | Unconjugated |
| Formulation | PBS with no preservative |
| Gene | Agr2 |
| Gene Accession No. | O95994 |
| Gene Alias | AG2; AG-2; AGR2; agr2 protein; Agr2h; AII; AII type II arginase; anterior gradient 2; anterior gradient 2 homolog; anterior gradient 2 homologue; anterior gradient 2, protein disulphide isomerase family member; anterior gradient homolog 2; anterior gradient protein 2 homolog; ARG2; arginase 2; arginase II; arginase type II; arginase, type II; arginase-2, mitochondrial; AU022422; epididymis secretory protein Li 116; Gob4; Gob-4; HAG-2; HEL-S-116; HPC8; kidney arginase; kidney-type arginase; L-arginine amidinohydrolase; L-arginine ureahydrolase; mAG-2; nonhepatic arginase; Non-hepatic arginase; PDIA17; protein disulfide isomerase family A, member 17; protein Gob-4; secreted cement gland homolog; secreted cement gland protein XAG-2 homolog; Type II arginase; UNQ515/PRO1030; XAG-2 |
| Show More |
Product Title
By clicking Submit, you acknowledge that you may be contacted by Fisher Scientific in regards to the feedback you have provided in this form. We will not share your information for any other purposes. All contact information provided shall also be maintained in accordance with our Privacy Policy.
Spot an opportunity for improvement?