missing translation for 'onlineSavingsMsg'
Learn More

ALDOB Mouse anti-Human, Clone: OTI3C6, liquid, TrueMAB™

Mouse Monoclonal Antibody

Brand:  Origene Technologies TA502908

Encompass_Preferred

Product Code. 17588041

  • € 540.87 / 100µL

Please to purchase this item. Need a web account? Register with us today!

This item is not returnable. View return policy

Description

Description

Fructose-1,6-bisphosphate aldolase (EC 4.1.2.13) is a tetrameric glycolytic enzyme that catalyzes the reversible conversion of fructose-1,6-bisphosphate to glyceraldehyde 3-phosphate and dihydroxyacetone phosphate. Vertebrates have 3 aldolase isozymes which are distinguished by their electrophoretic and catalytic properties. Differences indicate that aldolases A, B, and C are distinct proteins, the products of a family of related ′housekeeping′ genes exhibiting developmentally regulated expression of the different isozymes. The developing embryo produces aldolase A, which is produced in even greater amounts in adult muscle where it can be as much as 5% of total cellular protein. In adult liver, kidney and intestine, aldolase A expression is repressed and aldolase B is produced. In brain and other nervous tissue, aldolase A and C are expressed about equally. There is a high degree of homology between aldolase A and C. Defects in ALDOB cause hereditary fructose intolerance.
Specifications

Specifications

ALDOB
Monoclonal
0.77 mg/mL
PBS with 1% BSA, 50% glycerol and 0.02% sodium azide
P05062
ALDOB
Full length human recombit protein of human ALDOB produced in HEK293 cell.
100 μL
Primary
Human
Antibody
IgG2b
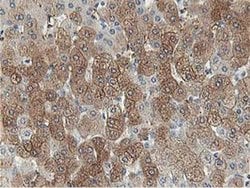
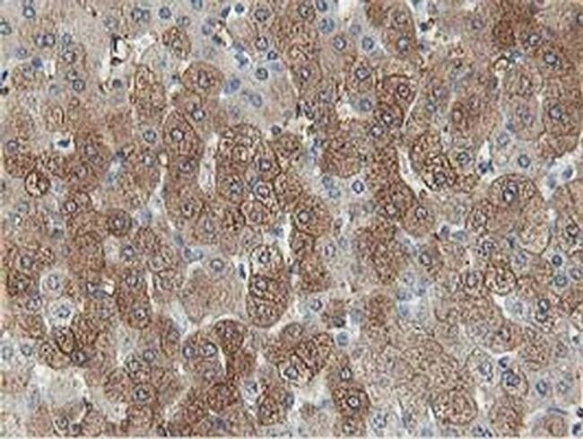
Flow Cytometry, Immunohistochemistry (Paraffin), Western Blot
OTI3C6
Unconjugated
ALDOB
ALDB, ALDO2
Mouse
Affinity Chromatography
RUO
229
-20° C, Avoid Freeze/Thaw Cycles
Liquid
Product Suggestions

Product Suggestions

Videos
SDS
Documents

Documents

Certificates
Promotions

Promotions

Product Content Correction

The Fisher Scientific Encompass Program offers items which are not part of our distribution portfolio. These products typically do not have pictures or detailed descriptions. However, we are committed to improving your shopping experience. Please use the form below to provide feedback related to the content on this product.

Product Title

By clicking Submit, you acknowledge that you may be contacted by Fisher Scientific in regards to the feedback you have provided in this form. We will not share your information for any other purposes. All contact information provided shall also be maintained in accordance with our Privacy Policy.

Thank You! Your feedback has been submitted. Fisher Scientific is always working to improve our content for you. We appreciate your feedback.