missing translation for 'onlineSavingsMsg'
Learn More
Learn More
Invitrogen™ ALPL Recombinant Rabbit Monoclonal Antibody (SA40-00)

Description
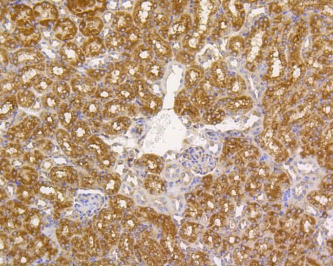
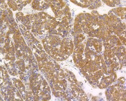
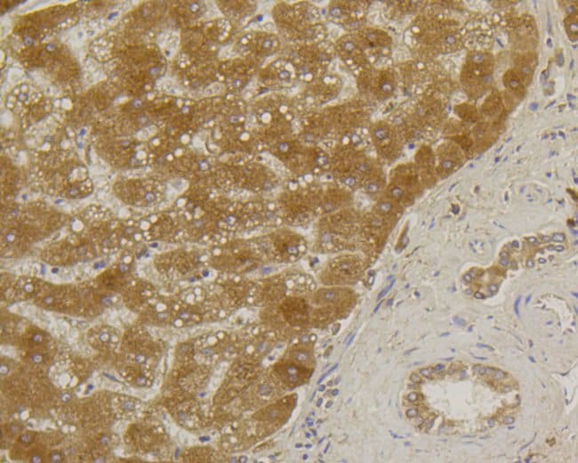
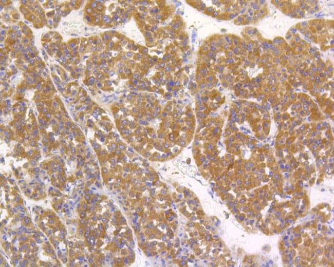
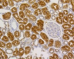
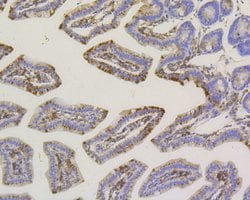
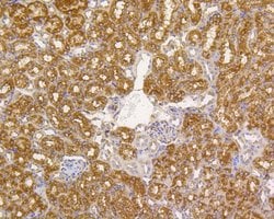
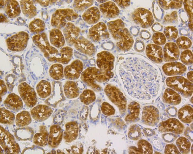
Positive Control: Hela cell lysate, HepG2 cell lysate, MG-63 cell lysate, Hela, HepG2, SW480, human liver tissue, human liver carcinoma tissue, human kidney tissue, mouse kidney tissue, mouse small intestine tissue. Subcellular Location: Cell membrane.
Alkaline phosphatase is a homodimeric protein enzyme (86 kDa), containing two zinc atoms crucial to its catalytic function per monomer, and it is optimally active at alkaline pH environments. The enzyme is found in prokaryotes and eukaryotes, with the same general function but in different structural forms suitable to organism's environment. ALP plays a role in liver metabolism and development within the skeleton. In bacteria, ALP acts as a source of inorganic phosphate. In yeast, ALP can be a useful protein for studying membrane protein sorting.
Specifications
Specifications
| Antigen | ALPL |
| Applications | Immunohistochemistry (Paraffin), Western Blot, Immunoprecipitation, Western Blot |
| Classification | Recombinant Monoclonal |
| Clone | SA40-00 |
| Concentration | 1 mg/mL |
| Conjugate | Unconjugated |
| Formulation | TBS with 0.05% BSA, 40% glycerol and 0.05% sodium azide; pH 7.4 |
| Gene | ALPL |
| Gene Accession No. | P05186, P08289, P09242 |
| Gene Alias | Akp2; Akp-2; Alkaline phosphatase 2; alkaline phosphatase 2, liver; alkaline phosphatase liver/bone/kidney isozyme; alkaline phosphatase precursor (EC 3.1.3.2); alkaline phosphatase tissue non-specific isoform; alkaline phosphatase tissue non-specific isoform/TNS-AP; alkaline phosphatase, biomineralization associated; alkaline phosphatase, intestinal; alkaline phosphatase, liver/bone/kidney; alkaline phosphatase, tissue-nonspecific isozyme; alkaline phosphomonoesterase; ALPI; Alpl; APTNAP; AP-TNAP; FLJ40094; FLJ93059; glycerophosphatase; HOPS; IAP; intestinal alkaline phosphatase; intestinal-type alkaline phosphatase; Kasahara isozyme; liver/bone/kidney isozyme; liver/bone/kidney-type alkaline phosphatase; MGC161443; MGC167935; PHOA; tissue-nonspecific alkaline phosphatase; tissue-nonspecific alkaline phosphatase precursor; tissue-nonspecific ALP; Tissue-nonspecific ALP alkaline phosphatase; TNAP; TNSALP; TNS-AP |
| Show More |
Product Title
By clicking Submit, you acknowledge that you may be contacted by Fisher Scientific in regards to the feedback you have provided in this form. We will not share your information for any other purposes. All contact information provided shall also be maintained in accordance with our Privacy Policy.
Spot an opportunity for improvement?