missing translation for 'onlineSavingsMsg'
Learn More
Learn More
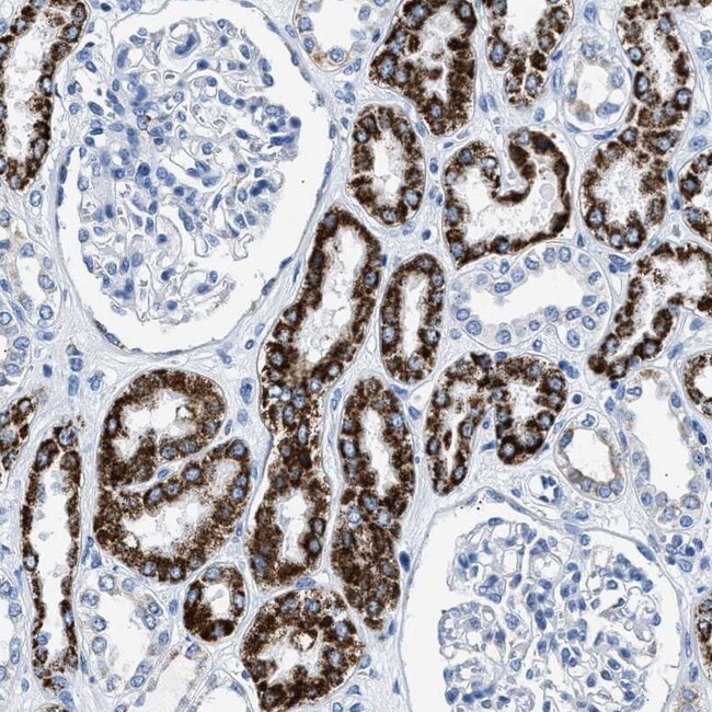
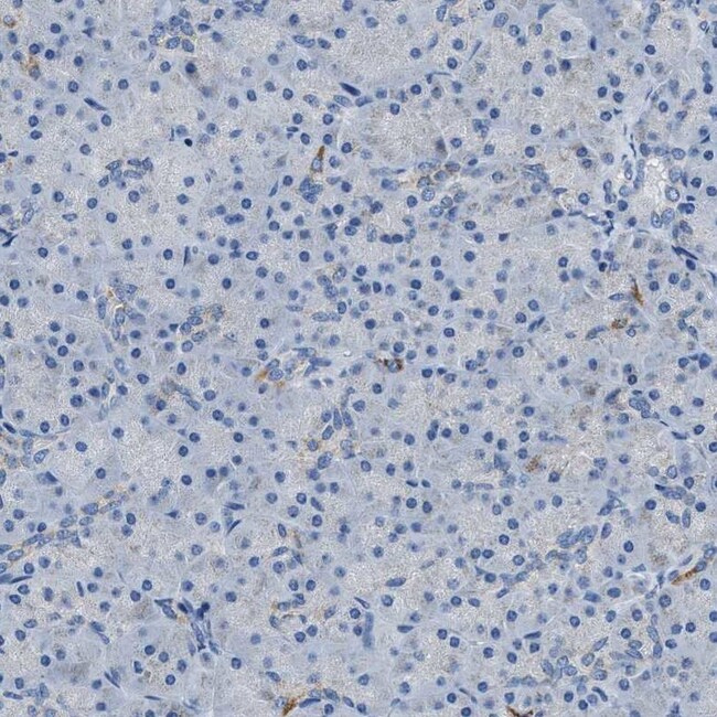
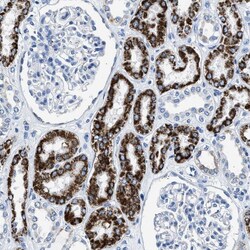
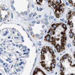
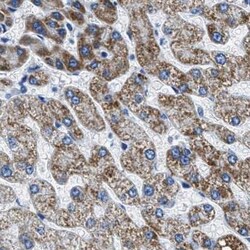
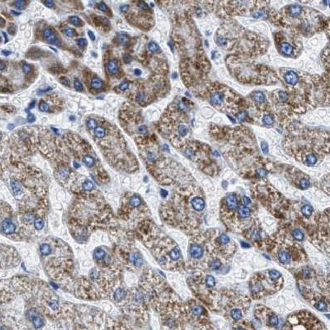
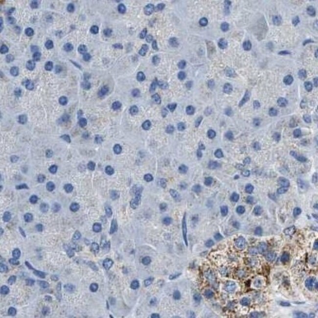
Invitrogen™ AMACR Polyclonal Antibody

Description
Immunogen sequence: HNKERGSFIT SEEQDVSPRP APLLLNTPAI PSFKRDPFIG EHTEEILEEF GFSREEIYQL NSDKIIESNK VKASL Highest antigen sequence indentity to the following orthologs: Mouse - 68%, Rat - 71%.
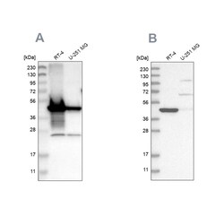
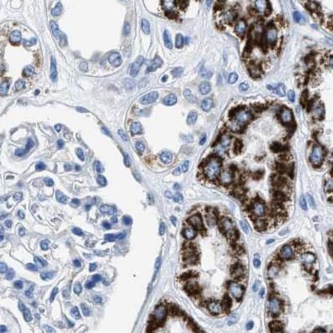
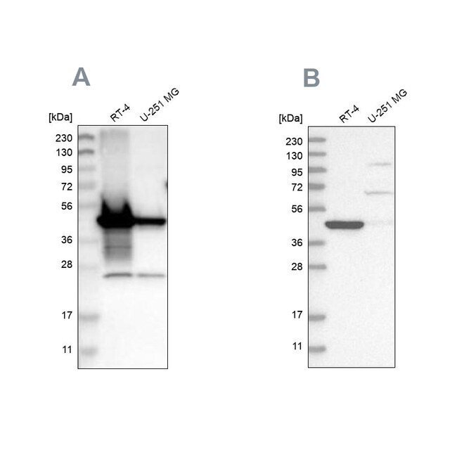
P504S/AMACR/a-Methylacyl-CoA Racemase is an essential enzyme in the b-oxidation of branched-chain fatty acids. High expression of P504S protein is found in prostatic adenocarcinoma but not in benign prostate tissue by immunohistochemical staining in paraffin-embedded tissue. The expression of P504S is also detected in two premalignant lesions of the prostate: high-grade prostatic intraepithelial neoplasia (PIN) and atypical adenomatous hyperplasia.
Specifications
Specifications
| Antigen | AMACR |
| Applications | Immunohistochemistry (Paraffin), Western Blot |
| Classification | Polyclonal |
| Concentration | 0.7 mg/mL |
| Conjugate | Unconjugated |
| Formulation | PBS with 40% glycerol and 0.02% sodium azide; pH 7.2 |
| Gene | AMACR |
| Gene Accession No. | Q9UHK6 |
| Gene Alias | 2-arylpropionyl-CoA epimerase; 2-methylacyl-CoA racemase; Alpha-methylacyl-CoA racemase; alpha-methylacyl-Coenzyme A racemase; Amacr; AMACRD; amcr; CBAS4; Da1-8; Macr1; Marc1; OTTHUMP00000219978; OTTHUMP00000219979; RACE; RM |
| Gene Symbols | AMACR |
| Show More |
Product Title
By clicking Submit, you acknowledge that you may be contacted by Fisher Scientific in regards to the feedback you have provided in this form. We will not share your information for any other purposes. All contact information provided shall also be maintained in accordance with our Privacy Policy.
Spot an opportunity for improvement?