Learn More
Invitrogen™ AMHR2 Polyclonal Antibody

Rabbit Polyclonal Antibody
Brand: Invitrogen™ PA578769
Description
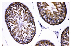
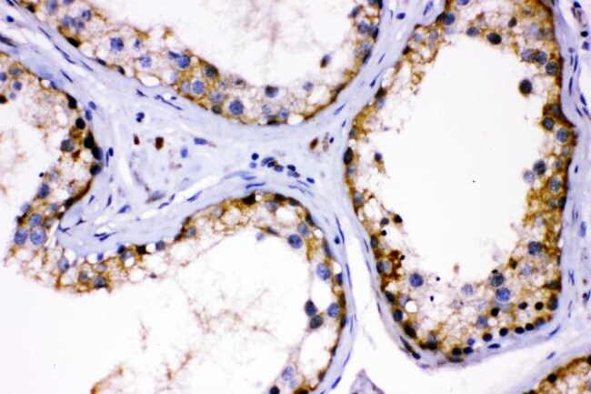
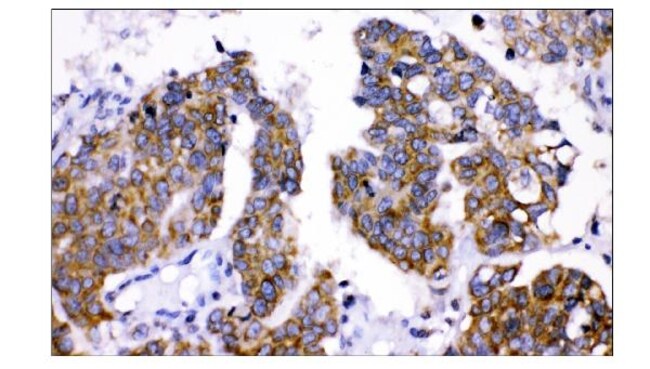
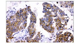
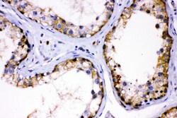
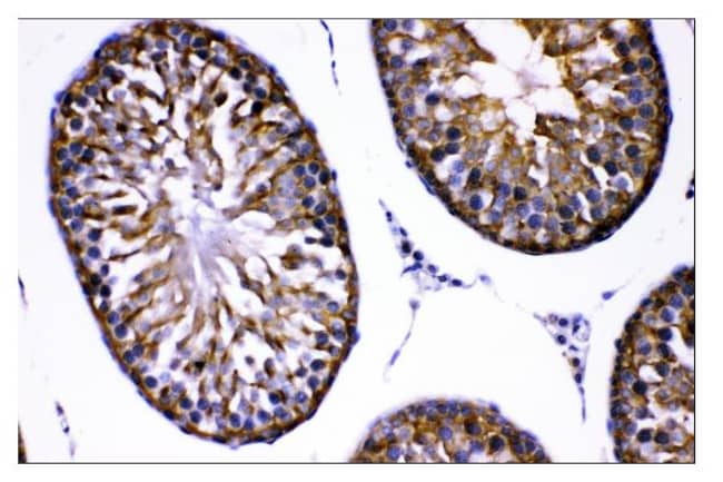
Reconstitute with 0.2 mL of distilled water to yield a concentration of 500 μg/mL. Positive Control - WB: human 293T whole cell, human MCF-7 whole cell, human HL-60 whole cell, human Caco-2 whole cell, human K562 whole cell, human HepG2 whole cell, human PC-3 whole cell, human A549 whole cell. IHC: mouse testis tissue, rat testis tissue, human ovarian cancer tissue, human testis cancer tissue. ICC/IF: CACO-2 cell. Flow: K562 cell.
The AMH receptor (AMHR or AMHR2) is a serine/threonine kinase with a single transmembrane domain belonging to the family of type II receptors for TGF-beta-related proteins. Anti-Mullerian hormone (AMH) and its receptor are involved in the regression of Mullerian ducts in male fetuses. Male sex differentiation is mediated by 2 discrete hormones produced by the fetal testis. Testosterone, produced by Leydig cells, virilizes the external genitalia and promotes prostatic growth; anti-Mullerian hormone (AMH) results in regression of Mullerian ducts which would otherwise differentiate into the uterus and fallopian tubes.
Specifications
| AMHR2 | |
| Polyclonal | |
| Unconjugated | |
| AMHR2 | |
| AMH type II receptor; AMHR; Amhr2; Anti-Muellerian hormone type II receptor; anti-Muellerian hormone type-2 receptor; anti-Mullerian hormone receptor type 11 SV1; anti-Mullerian hormone receptor type 2; anti-Mullerian hormone receptor type II; anti-Mullerian hormone receptor, type II; anti-Mullerian hormone type 2 receptor; anti-Mullerian hormone type 2 receptor delta 2; anti-Mullerian hormone type 2 receptor delta 9/10; C14; MIS type II receptor; Misiir; MISR2; MISRII; MRII; Muellerian inhibiting substance type II receptor; Mullerian inhibiting substance type II receptor | |
| Rabbit | |
| Antigen affinity chromatography | |
| RUO | |
| 110542, 269, 29530 | |
| -20°C | |
| Lyophilized |
| Flow Cytometry, Immunohistochemistry (Paraffin), Western Blot, Immunocytochemistry | |
| 500 μg/mL | |
| PBS with 5mg BSA and 0.05mg sodium azide | |
| Q16671, Q62893, Q8K592 | |
| AMHR2 | |
| A synthetic peptide corresponding to a sequence at the C-terminus of human AMHR2 (384-419aa QRYMAPELLDKTLDLQDWGMALRRADIYSLALLLWE). | |
| 100 μg | |
| Primary | |
| Human, Mouse, Rat | |
| Antibody | |
| IgG |
Your input is important to us. Please complete this form to provide feedback related to the content on this product.