missing translation for 'onlineSavingsMsg'
Learn More

ANAPC11 Mouse anti-Human, Clone: OTI1F2, lyophilized, TrueMAB™

Mouse Monoclonal Antibody

Brand:  Origene Technologies CF506321

Encompass_Preferred

Product Code. 17625251

  • POA / 100µg

Please to purchase this item. Need a web account? Register with us today!

This item requires a price update prior to being ordered.

Request a Price for this item here.

View alternative products »

This item is not returnable. View return policy

Description

Description

Reconstitute with PBS (pH 7.3) and recommend to perform another round of desalting process using Product No. 7KMWCO

Component of the anaphase promoting complex/cyclosome (APC/C), a cell cycle-regulated E3 ubiquitin ligase that controls progression through mitosis and the G1 phase of the cell cycle. The APC/C complex acts by mediating ubiquitination and subsequent degradation of target proteins: it mainly mediates the formation of ′Lys-11′-linked polyubiquitin chains and, to a lower extent, the formation of ′Lys-48′- and ′Lys-63′-linked polyubiquitin chains. May recruit the E2 ubiquitin-conjugating enzymes to the complex.
Specifications

Specifications

ANAPC11
Monoclonal
Unconjugated
ANAPC11
APC11, Apc11p, HSPC214
Mouse
Affinity Chromatography
RUO
51529
-20° C, Avoid Freeze/Thaw Cycles
Lyophilized
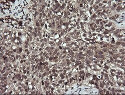
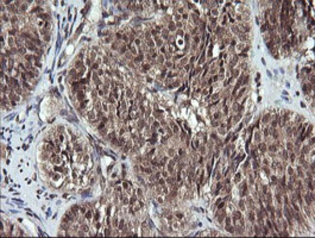
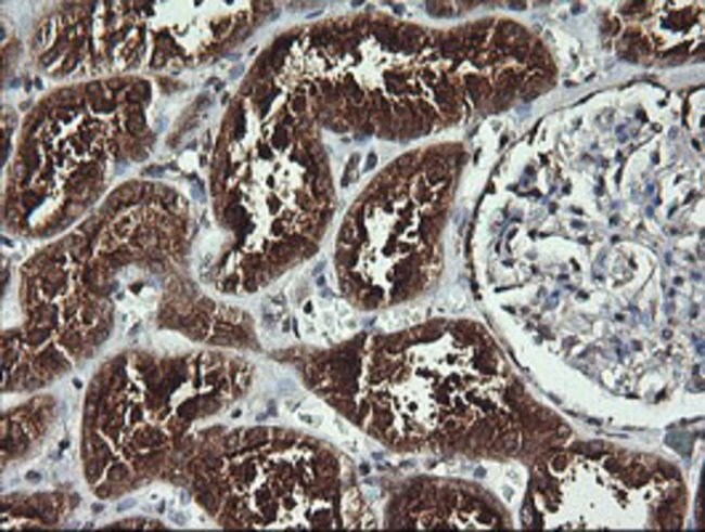
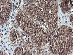
Immunohistochemistry (Paraffin), Western Blot
OTI1F2
PBS with 8% trehalose and no preservative; pH 7.3
Q9NYG5
ANAPC11
Full length human recombit protein of human ANAPC11 produced in HEK293T cell.
100 μg
Primary
Human
Antibody
IgG1
Product Suggestions

Product Suggestions

Videos
SDS
Documents

Documents

Certificates
Promotions

Promotions

Product Content Correction

The Fisher Scientific Encompass Program offers items which are not part of our distribution portfolio. These products typically do not have pictures or detailed descriptions. However, we are committed to improving your shopping experience. Please use the form below to provide feedback related to the content on this product.

Product Title

By clicking Submit, you acknowledge that you may be contacted by Fisher Scientific in regards to the feedback you have provided in this form. We will not share your information for any other purposes. All contact information provided shall also be maintained in accordance with our Privacy Policy.

Thank You! Your feedback has been submitted. Fisher Scientific is always working to improve our content for you. We appreciate your feedback.