missing translation for 'onlineSavingsMsg'
Learn More

ChGn (B02P), Mouse anti-Human, Purified MaxPab™ Polyclonal Antibody, Abnova™

Product Code. 16131779
Change view
Click to view available options
Quantity:
50 μg
Unit Size:
50µg
1 product options available for selection
Product selection table with 1 available options. Use arrow keys to navigate and Enter or Space to select.
Product Code. Quantity unitSize
16131779 50 μg 50µg
Use arrow keys to navigate between rows. Press Enter or Space to select a product option. 1 options available.
1 options
This item is not returnable. View return policy
Product Code. 16131779 Supplier Abnova Supplier No. H00055790B02P.50ug

Please to purchase this item. Need a web account? Register with us today!

This item is not returnable. View return policy

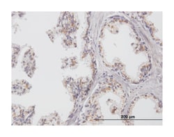
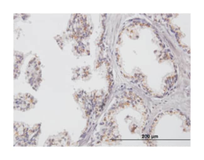
Mouse polyclonal antibody raised against a full-length human ChGn protein.

Sequence: MMMVRRGLLAWISRVVVLLVLLCCAISVLYMLACTPKGDEEQLALPRANSPTGKEGYQAVLQEWEEQHRNYVSSLKRQIAQLKEELQERSEQLRNGQYQASDAAGLGLDRSPPEKTQADLLAFLHSQVDKAEVNAGVKLATEYAAVPFDSFTLQKVYQLETGLTRHPEEKPVRKDKRDELVEAIESALETLNNPAENSPNHRPYTASDFIEGIYRTERDKGTLYELTFKGDHKHEFKRLILFRPFGPIMKVENEKLNMANTLINVIVPLAKRVDKFRQFMQNFRPADEVFRCVPLSP

Specifications

Antigen ChGn
Applications Immunohistochemistry (PFA fixed), Western Blot
Classification Polyclonal
Conjugate Unconjugated
Description Mouse polyclonal antibody raised against a full-length human ChGn protein.
Formulation PBS with no preservative; pH 7.4
Gene CSGALNACT1
Gene Accession No. BC060772
Gene Alias CSGalNAcT-1/ChGn/FLJ11264/FLJ13760/beta4GalNAcT
Gene Symbols CSGALNACT1
Host Species Mouse
Immunogen ChGn (AAH60772.1, 1 a.a. ∼ 297 a.a) full-length human protein.
Purification Method Affinity chromatography
Quantity 50 μg
Regulatory Status RUO
Primary or Secondary Primary
Gene ID (Entrez) 55790
Target Species Human
Content And Storage Store at -20°C or lower. Aliquot to avoid repeated freezing and thawing.
Product Type Antibody
Form Purified
Isotype IgG
Show More Show Less
Product Title
Select an issue

By clicking Submit, you acknowledge that you may be contacted by Fisher Scientific in regards to the feedback you have provided in this form. We will not share your information for any other purposes. All contact information provided shall also be maintained in accordance with our Privacy Policy.