missing translation for 'onlineSavingsMsg'
Learn More

FGF1, Mouse, Clone: 3F5, Abnova™

Product Code. 16128074
Change view
Click to view available options
Quantity:
100 μg
Unit Size:
100µg
1 product options available for selection
Product selection table with 1 available options. Use arrow keys to navigate and Enter or Space to select.
Product Code. Quantity unitSize
16128074 100 μg 100µg
Use arrow keys to navigate between rows. Press Enter or Space to select a product option. 1 options available.
1 options
This item is not returnable. View return policy
Product Code. 16128074 Supplier Abnova Supplier No. H00002246M01.100ug

Please to purchase this item. Need a web account? Register with us today!

This item is not returnable. View return policy

Mouse monoclonal antibody raised against a partial recombinant FGF1.

The protein encoded by this gene is a member of the fibroblast growth factor (FGF) family. FGF family members possess broad mitogenic and cell survival activities, and are involved in a variety of biological processes, including embryonic development, cell growth, morphogenesis, tissue repair, tumor growth and invasion. This protein functions as a modifier of endothelial cell migration and proliferation, as well as an angiogenic factor. It acts as a mitogen for a variety of mesoderm- and neuroectoderm-derived cells in vitro, thus is thought to be involved in organogenesis. Multiple alternatively spliced variants encoding different isoforms have been described. [provided by RefSeq

Sequence: VDGTRDRSDQHIQLQLSAESVGEVYIKSTETGQYLAMDTDGLLYGSQTPNEECLFLERLEENHYNTYISKKHAEKNWFVGLKKNGSCKRGPRTHYGQKAILFLPLPVSSD

Specifications

Antigen FGF1
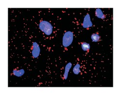
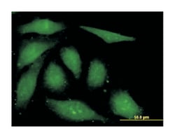
Applications ELISA, Immunofluorescence, In situ PLA, Western Blot
Classification Monoclonal
Clone 3F5
Conjugate Unconjugated
Description Mouse monoclonal antibody raised against a partial recombinant FGF1.
Formulation PBS with no preservative; pH 7.4
Gene FGF1
Gene Accession No. BC032697
Gene Alias AFGF/ECGF/ECGF-beta/ECGFA/ECGFB/FGF-alpha/FGFA/GLIO703/HBGF1
Gene Symbols FGF1
Host Species Mouse
Immunogen FGF1 (AAH32697, 46 a.a. ∼ 155 a.a) partial recombinant protein with GST tag. MW of the GST tag alone is 26 KDa.
Purification Method Affinity chromatography
Quantity 100 μg
Regulatory Status RUO
Primary or Secondary Primary
Gene ID (Entrez) 2246
Target Species Human
Content And Storage Store at -20°C or lower. Aliquot to avoid repeated freezing and thawing.
Product Type Antibody
Form Liquid
Isotype IgG1 κ
Show More Show Less
Product Title
Select an issue

By clicking Submit, you acknowledge that you may be contacted by Fisher Scientific in regards to the feedback you have provided in this form. We will not share your information for any other purposes. All contact information provided shall also be maintained in accordance with our Privacy Policy.