missing translation for 'onlineSavingsMsg'
Learn More

interferon-related developmental regulator 2, Rabbit, Purified MaxPab™ Polyclonal Antibody, Abnova™

Rabbit polyclonal antibody raised against a full-length human IFRD2 protein.

Brand:  Abnova H00007866-D01P.100ug

Product Code. 16158025

  • € 365.00 / 100µg

Please to purchase this item. Need a web account? Register with us today!

This item is not returnable. View return policy

Description

Description

Sequence: MPRARKGNTLRKGGQRRGGGARSSAQADSGSSDDEAASEARSTASECPSLLSTTAEDSLGGDVVDEQGQQEDLEEKLKEYVDCLTDKSAKTRQGALESLRLALASRLLPDFLLERRLTLADALEKCLKKGKGEEQALAAAVLGLLCVQLGPGPKGEELFHSLQPLLVSVLSDSTASPAARLHCASALGLGCYVAAADIQDLVSCLACLESVFSRFYGLGGSSTSPVVPASLHGLLSAALQAWALLLTICPSTQISHILDRQLPRLPQLLSSESVNLRIAAGETIALLFELARDLEEEFVYEDMEALCSVLRTLATDSNKYRAKADRRRQRSTFRAVLHSVEGGECEEEIVRFGFEVLYMDSWARHRIYAAFKEVLGSGMHHHLQNNELLRDIFGLGPVLLLDATALKACKVPRFEKHLYNAAAFKARTKARSRVRDKRADIL
Specifications

Specifications

interferon-related developmental regulator 2
Polyclonal
Rabbit polyclonal antibody raised against a full-length human IFRD2 protein.
IFRD2
FLJ40446/IFNRP/SKMc15/SM15
Rabbit
Affinity Purified
RUO
7866
Store at -20°C or lower. Aliquot to avoid repeated freezing and thawing.
IgG
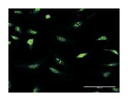
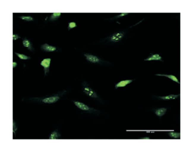
Immunofluorescence, Western Blot
Unconjugated
PBS with no preservative; pH 7.4
NM_006764.3
IFRD2
IFRD2 (NP_006755.3, 1 a.a. ∼ 442 a.a) full-length human protein.
100 μg
Primary
Human
Antibody
Product Suggestions

Product Suggestions

Videos
SDS
Documents

Documents

Certificates
Promotions

Promotions

Product Content Correction

Your input is important to us. Please complete this form to provide feedback related to the content on this product.

Product Title

By clicking Submit, you acknowledge that you may be contacted by Fisher Scientific in regards to the feedback you have provided in this form. We will not share your information for any other purposes. All contact information provided shall also be maintained in accordance with our Privacy Policy.

Thank You! Your feedback has been submitted. Fisher Scientific is always working to improve our content for you. We appreciate your feedback.