missing translation for 'onlineSavingsMsg'
Learn More

APEX1 Mouse anti-Canine, Human, Clone: OTI1H9, lyophilized, TrueMAB™

Mouse Monoclonal Antibody

Brand:  Origene Technologies CF800330

Encompass_Preferred

Product Code. 17656011

  • € 726.00 / 100µg

Please to purchase this item. Need a web account? Register with us today!

This item is not returnable. View return policy

Description

Description

Reconstitute with PBS (pH 7.3) and recommend to perform another round of desalting process using Product No. 7KMWCO

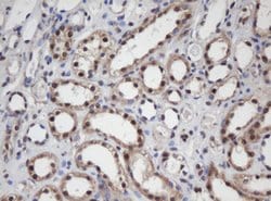
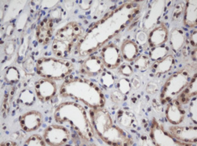
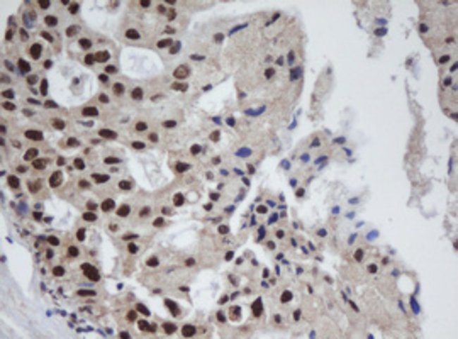
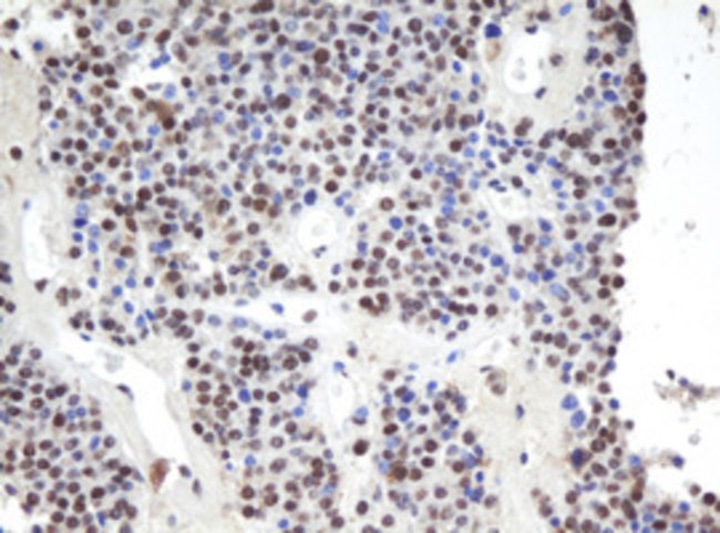
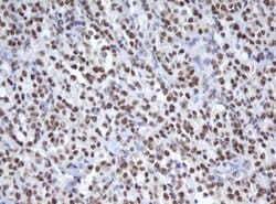
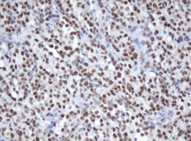
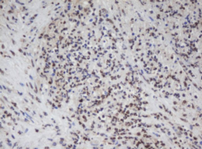
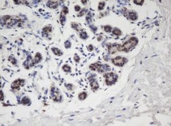
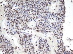
Apurinic/apyrimidinic (AP) sites occur frequently in DNA molecules by spontaneous hydrolysis, by DNA damaging agents or by DNA glycosylases that remove specific abnormal bases. AP sites are pre-mutagenic lesions that can prevent normal DNA replication so the cell contains systems to identify and repair such sites. Class II AP endonucleases cleave the phosphodiester backbone 5′ to the AP site. This gene encodes the major AP endonuclease in human cells. Splice variants have been found for this gene; all encode the same protein.
Specifications

Specifications

APEX1
Monoclonal
Unconjugated
APEX1
APE, APE1, APEN, APEX, APX, HAP1, REF1
Mouse
Affinity Chromatography
RUO
328, 482558
-20° C, Avoid Freeze/Thaw Cycles
Lyophilized
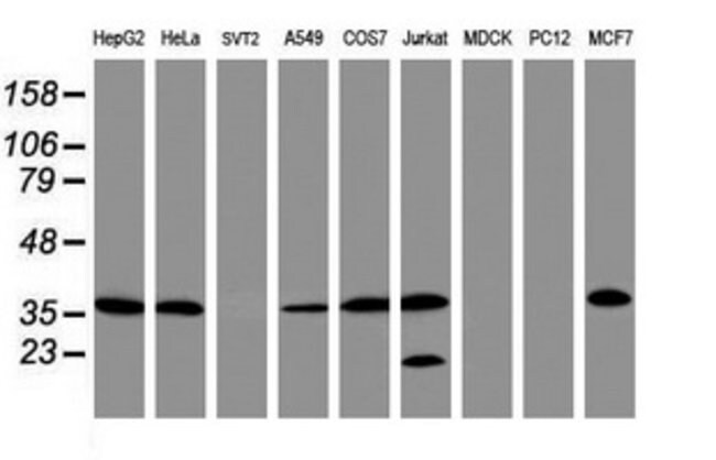
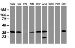
Immunohistochemistry (Paraffin), Western Blot
OTI1H9
PBS with 8% trehalose and no preservative; pH 7.3
P27695
APEX1
Human recombit protein fragment corresponding to amino acids 1-242 of human APEX1 produced in E.coli.
100 μg
Primary
Canine, Human
Antibody
IgG1
Product Suggestions

Product Suggestions

Videos
SDS
Documents

Documents

Certificates
Promotions

Promotions

Product Content Correction

The Fisher Scientific Encompass Program offers items which are not part of our distribution portfolio. These products typically do not have pictures or detailed descriptions. However, we are committed to improving your shopping experience. Please use the form below to provide feedback related to the content on this product.

Product Title

By clicking Submit, you acknowledge that you may be contacted by Fisher Scientific in regards to the feedback you have provided in this form. We will not share your information for any other purposes. All contact information provided shall also be maintained in accordance with our Privacy Policy.

Thank You! Your feedback has been submitted. Fisher Scientific is always working to improve our content for you. We appreciate your feedback.