missing translation for 'onlineSavingsMsg'
Learn More
Learn More
Invitrogen™ APOA1BP Polyclonal Antibody

Rabbit Polyclonal Antibody
Brand: Invitrogen™ PA561673
This item is not returnable.
View return policy
Description
Immunogen sequence: DIPSGWDVEK GNAGGIQPDL LISLTAPKKS ATQFTGRYHY LGGRFVPPAL EKKYQLNLPP YPDTECVYRL Highest antigen sequence identity to the following orthologs: Mouse - 94%, Rat - 96%.
The product of this gene interacts with apolipoprotein A-I (apoA-I), the major apolipoprotein of high-density lipoproteins (HDLs). It is secreted into some bodily fluids, and its synthesis and secretion are stimulated in vitro by incubating cells with apoA-I. The human genome contains related pseudogenes.
Specifications
| APOA1BP | |
| Polyclonal | |
| Unconjugated | |
| NAXE | |
| AA087124; AIBP; AI-BP; AI-BP {ECO:0000255; Apoa1bp; Apoa1ip; apoA-I binding protein; apolipoprotein A-I binding protein; apolipoprotein A-I interacting protein; apolipoprotein A-I-binding protein; apolipoprotein A-I-binding protein {ECO:0000255; ESTM37; HAMAP-Rule:MF_03159}; MGC119143; MGC119144; MGC119145; NAD(P)H-hydrate epimerase; NAD(P)H-hydrate epimerase {ECO:0000255; NAD(P)HX epimerase; NAD(P)HX epimerase {ECO:0000255; NAXE; YjeF N-terminal domain-containing protein 1; yjeF_N1; YJEFN1 | |
| Rabbit | |
| Antigen Affinity Chromatography | |
| RUO | |
| 128240 | |
| Store at 4°C short term. For long term storage, store at -20°C, avoiding freeze/thaw cycles. | |
| Liquid |
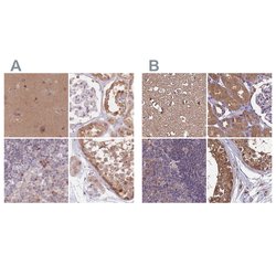
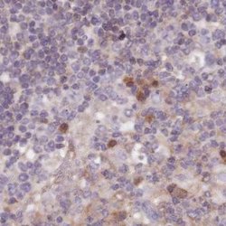
| Immunohistochemistry (Paraffin), Western Blot, Immunocytochemistry | |
| 0.2 mg/mL | |
| PBS with 40% glycerol and 0.02% sodium azide; pH 7.2 | |
| Q8NCW5 | |
| NAXE | |
| Recombinant protein corresponding to Human APOA1BP. Recombinant protein control fragment (Product #RP-100415). | |
| 100 μL | |
| Primary | |
| Human | |
| Antibody | |
| IgG |
Product Content Correction
Your input is important to us. Please complete this form to provide feedback related to the content on this product.
Product Title
Spot an opportunity for improvement?Share a Content Correction