missing translation for 'onlineSavingsMsg'
Learn More
Learn More
Description
Immunogen sequence: AGCGTEEGEA SVSENQELDG STGADAGPCP SLGEAYARET EDEEAEADRT SRRGWRLQAV AVGLPDREDA QTGSVAAGIM GGDVVPHISA AGAGEALEGV Highest antigen sequence identity to the following orthologs: Mouse - 36%, Rat - 36%.
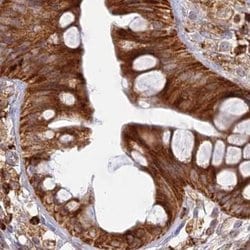
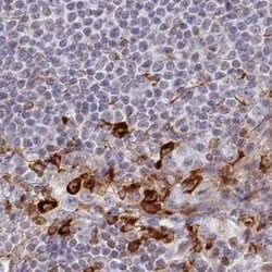
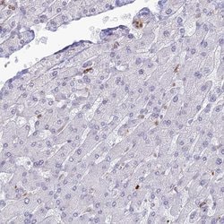
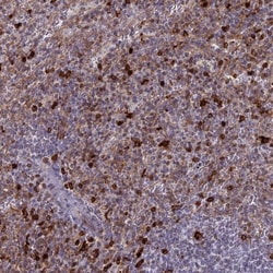
Macrophage receptor that binds to the apolipoprotein B48 (APOB) of dietary triglyceride (TG)-rich lipoproteins (TRL) or to a like domain of APOB in hypertriglyceridemic very low density lipoprotein (HTG-VLDL). Binds and internalizes TRL when out of the context of the macrophage. May provide essential lipids to reticuloendothelial cells. Could also be involved in foam cell formation with elevated TRL and remnant lipoprotein (RLP). Mediates the rapid high-affinity uptake of chylomicrons (CM), HTG- VLDL, and trypsinized (tryp) VLDL devoid of APOE in vitro in macrophages.
Specifications
Specifications
| Antigen | APOB48R |
| Applications | Immunohistochemistry (Paraffin) |
| Classification | Polyclonal |
| Concentration | 0.3 mg/mL |
| Conjugate | Unconjugated |
| Formulation | PBS with 40% glycerol and 0.02% sodium azide; pH 7.2 |
| Gene | APOBR |
| Gene Accession No. | Q0VD83 |
| Gene Alias | APOB100R; Apob48r; apoB-48R; Apobr; Apolipoprotein B receptor; apolipoprotein B100 receptor; apolipoprotein B-100 receptor; apolipoprotein B48 receptor; Apolipoprotein B-48 receptor; RGD1565169 |
| Gene Symbols | APOBR |
| Show More |
Product Title
By clicking Submit, you acknowledge that you may be contacted by Fisher Scientific in regards to the feedback you have provided in this form. We will not share your information for any other purposes. All contact information provided shall also be maintained in accordance with our Privacy Policy.
Spot an opportunity for improvement?
