missing translation for 'onlineSavingsMsg'
Learn More
Learn More
Invitrogen™ Apolipoprotein A5 Polyclonal Antibody, Invitrogen™

Rabbit Polyclonal Antibody
Brand: Invitrogen™ PA5145267
This item is not returnable.
View return policy
Description
Apolipoprotein A4 (also known as ApoA-IV) is a plasma protein that is O-linked glycoprotein after proteolytic processing. ApoA4 is a major constituent of HDL and it also can be found on the surface of newly synthesized chylomicrons. The physiological function of ApoA4 is not completely identified so far, but several evidences from vitro studies indicate that this apolipoprotein involves in several steps of the reverse cholesterol transport pathway, which transports cholesterol from peripheral cells back to the liver.
Specifications
| Apolipoprotein A5 | |
| Polyclonal | |
| Unconjugated | |
| APOA5 | |
| 1300007O05Rik; APOA5; Apoav; apo-AV; apoA-V; apolipoprotein A5; apolipoprotein AV; Apolipoprotein A-V; apolipoprotein A-V precursor variant 3; apolipoprotein A-V; apolipoprotein A5; FLJ97995; MGC126836; MGC126838; Rap3; Regeneration-associated protein 3; UNQ411/PRO773 | |
| Rabbit | |
| Antigen affinity chromatography, Protein A | |
| RUO | |
| 140638, 66113 | |
| Store at 4°C short term. For long term storage, store at -20°C, avoiding freeze/thaw cycles. | |
| Liquid |
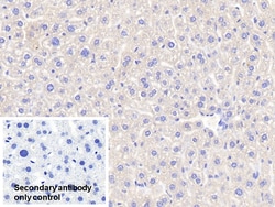
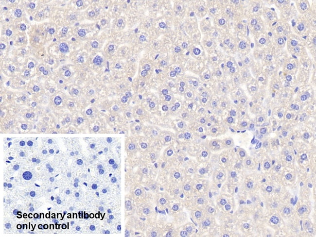
| Immunohistochemistry (Paraffin), Western Blot | |
| 0.5 mg/mL | |
| PBS with 50% glycerol and 0.05% Proclin 300; pH 7.4 | |
| Q8C7G5, Q9QUH3 | |
| APOA5 | |
| Recombinant Mouse APOA5 protein, Arg21-Pro210 (Accession #Q8C7G5). | |
| 200 μL | |
| Primary | |
| Mouse, Rat | |
| Antibody | |
| IgG |
Product Content Correction
Your input is important to us. Please complete this form to provide feedback related to the content on this product.
Product Title
Spot an opportunity for improvement?Share a Content Correction