missing translation for 'onlineSavingsMsg'
Learn More

AR Mouse anti-Human, Clone: UMAB240, liquid, UltraMAB™

Mouse Monoclonal Antibody

Brand:  Origene Technologies UM870132

Encompass_Preferred

Product Code. 17530205

  • € 271.04 / 30µL

Please to purchase this item. Need a web account? Register with us today!

This item is not returnable. View return policy

Description

Description

The androgen receptor (AR) is a member of the steroid-hormone receptor superfamily of nuclear receptors. The receptor is more than 90 kDa and has three major functional domains: the N-terminal domain, DNA-binding domain, and the androgen-binding domain. The androgen receptor is a ligand-activated transcription factor that binds active testosterone (T) and dihydrotestosterone (DHT). Upon binding the hormone ligand, the receptor dissociates from accessory proteins, translocates into the nucleus, dimerizes, and then stimulates transcription of androgen responsive genes. The AR signaling pathway plays a key role in development and function of male reproductive organs, including the prostate and epididymis.AR also plays a role in nonreproductive organs, such as muscle, hair follicles, and brain.Androgen Receptor is a phosphoprotein, and also regulates mitogen-activated protein kinase (MAP kinase). The inhibition of the MEK1/2 pathway correlates directly with a change in phosphorylation state of the androgen receptor. Abnormalities in the AR signaling pathway have been linked to a number of diseases, including prostate cancer, Kennedy′s disease, and male infertility. Mutations in this gene are associated with complete androgen insensitivity (CAIS).
Specifications

Specifications

AR
Monoclonal
Unconjugated
AR
AIS, AR8, DHTR, HUMARA, HYSP1, KD, NR3C4, SBMA, SMAX1, TFM
Mouse
Affinity Chromatography
RUO
367
-20° C, Avoid Freeze/Thaw Cycles
Liquid
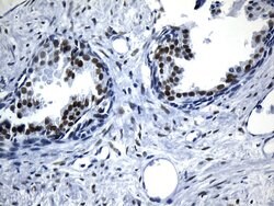
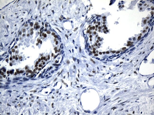
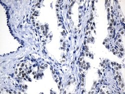
Immunohistochemistry (Paraffin)
UMAB240
PBS with 1% BSA, 50% glycerol and 0.02% sodium azide
P10275
AR
Human recombit protein fragment corresponding to amino acids 420-659 of human AR produced in E.coli.
30 μL
Primary
Human
Antibody
IgG1
Product Suggestions

Product Suggestions

Videos
SDS
Documents

Documents

Certificates
Promotions

Promotions

Product Content Correction

The Fisher Scientific Encompass Program offers items which are not part of our distribution portfolio. These products typically do not have pictures or detailed descriptions. However, we are committed to improving your shopping experience. Please use the form below to provide feedback related to the content on this product.

Product Title

By clicking Submit, you acknowledge that you may be contacted by Fisher Scientific in regards to the feedback you have provided in this form. We will not share your information for any other purposes. All contact information provided shall also be maintained in accordance with our Privacy Policy.

Thank You! Your feedback has been submitted. Fisher Scientific is always working to improve our content for you. We appreciate your feedback.