missing translation for 'onlineSavingsMsg'
Learn More
Learn More
Invitrogen™ ARID1A Polyclonal Antibody

Rabbit Polyclonal Antibody
Brand: Invitrogen™ PA552146
This item is not returnable.
View return policy
Description
Immunogen sequence: PGLGNVAMGP RQHYPYGGPY DRVRTEPGIG PEGNMSTGAP QPNLMPSNPD SGMYSPSRYP PQQQQQQQQR HDSYGNQFST QGTPSGSPFP SQQTTMYQQQ QQNYK Highest antigen sequence identity to the following orthologs: Mouse - 95%, Rat - 88%.
This gene encodes a member of the SWI/SNF family, whose members have helicase and ATPase activities and are thought to regulate transcription of certain genes by altering the chromatin structure around those genes. The encoded protein is part of the large ATP-dependent chromatin remodeling complex SNF/SWI, which is required for transcriptional activation of genes normally repressed by chromatin. It possesses at least two conserved domains that could be important for its function. First, it has a DNA-binding domain that can specifically bind an AT-rich DNA sequence known to be recognized by a SNF/SWI complex at the beta-globin locus. Second, the C-terminus of the protein can stimulate glucocorticoid receptor-dependent transcriptional activation. It is thought that the protein encoded by this gene confers specificity to the SNF/SWI complex and may recruit the complex to its targets through either protein-DNA or protein-protein interactions. Two transcript variants encoding different isoforms have been found for this gene.
Specifications
| ARID1A | |
| Polyclonal | |
| Unconjugated | |
| ARID1A | |
| 1110030E03Rik; ARID domain-containing protein 1A; ARID1A; AT rich interactive domain 1A (Swi1 like); AT rich interactive domain 1A (SWI-like); AT-rich interaction domain 1A; AT-rich interactive domain-containing protein 1A; B120; BAF250; Baf250a; BM029; brain protein 120; BRG1-associated factor 250; BRG1-associated factor 250a; C1orf4; chromatin remodeling factor p250; CSS2; ELD; h BM029; hELD; hOSA1; MRD14; Osa homolog 1; Osa1; OSA1 nuclear protein; P270; Smarcf1; SWI/SNF complex protein p270; SWI/SNF related, matrix associated, actin dependent regulator of chromatin, subfamily f, member 1; SWI/SNF-related, matrix-associated, actin-dependent regulator of chromatin subfamily F member 1; Swi1 like; SWI-like protein; SWI-SNF complex protein p270 | |
| Rabbit | |
| Antigen affinity chromatography | |
| RUO | |
| 8289 | |
| Store at 4°C short term. For long term storage, store at -20°C, avoiding freeze/thaw cycles. | |
| Liquid |
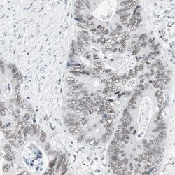
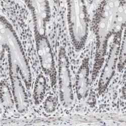
| Immunohistochemistry (Paraffin), Western Blot, Immunocytochemistry | |
| 0.20 mg/mL | |
| PBS with 40% glycerol and 0.02% sodium azide; pH 7.2 | |
| O14497 | |
| ARID1A | |
| Recombinant protein corresponding to Human ARID1A. Recombinant protein control fragment (Product #RP-89207). | |
| 100 μL | |
| Primary | |
| Human | |
| Antibody | |
| IgG |
Product Content Correction
Your input is important to us. Please complete this form to provide feedback related to the content on this product.
Product Title
Spot an opportunity for improvement?Share a Content Correction