missing translation for 'onlineSavingsMsg'
Learn More

ARPC5 Mouse anti-Human, Clone: OTI2G1, lyophilized, TrueMAB™

Mouse Monoclonal Antibody

Brand:  Origene Technologies CF505696

Encompass_Preferred

Product Code. 17694831

  • € 726.00 / 100µg

Please to purchase this item. Need a web account? Register with us today!

This item is not returnable. View return policy

Description

Description

Reconstitute with PBS (pH 7.3) and recommend to perform another round of desalting process using Product No. 7KMWCO

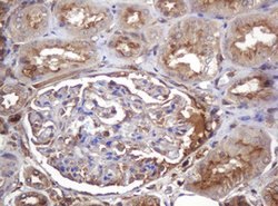
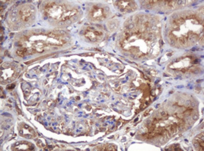
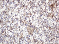
This gene encodes one of seven subunits of the human Arp2/3 protein complex. The Arp2/3 protein complex has been implicated in the control of actin polymerization in cells and has been conserved through evolution. The exact role of the protein encoded by this gene, the p16 subunit, has yet to be determined.
Specifications

Specifications

ARPC5
Monoclonal
Unconjugated
ARPC5
ARC16, dJ127C7.3, p16-Arc
Mouse
Affinity Chromatography
RUO
10092
-20° C, Avoid Freeze/Thaw Cycles
Lyophilized
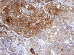
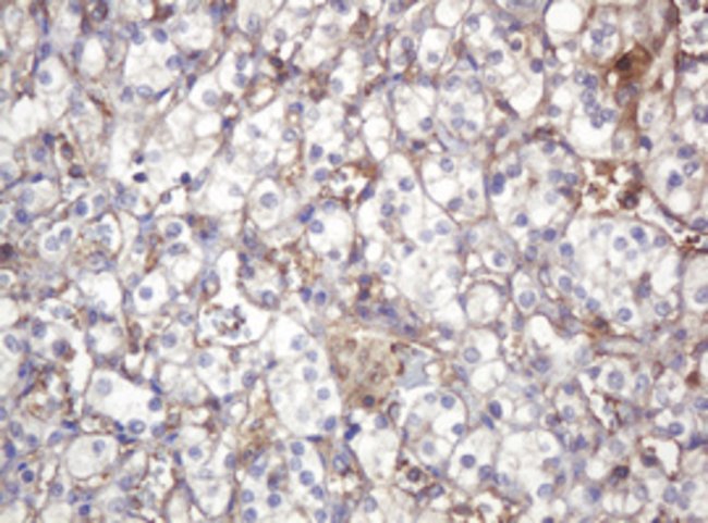
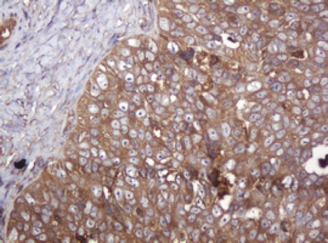
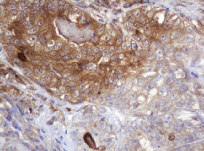
Immunohistochemistry (Paraffin), Western Blot
OTI2G1
PBS with 8% trehalose and no preservative; pH 7.3
O15511
ARPC5
Full length human recombit protein of human ARPC5 produced in HEK293T cell.
100 μg
Primary
Human
Antibody
IgG1
Product Suggestions

Product Suggestions

Videos
SDS
Documents

Documents

Certificates
Promotions

Promotions

Product Content Correction

The Fisher Scientific Encompass Program offers items which are not part of our distribution portfolio. These products typically do not have pictures or detailed descriptions. However, we are committed to improving your shopping experience. Please use the form below to provide feedback related to the content on this product.

Product Title

By clicking Submit, you acknowledge that you may be contacted by Fisher Scientific in regards to the feedback you have provided in this form. We will not share your information for any other purposes. All contact information provided shall also be maintained in accordance with our Privacy Policy.

Thank You! Your feedback has been submitted. Fisher Scientific is always working to improve our content for you. We appreciate your feedback.