missing translation for 'onlineSavingsMsg'
Learn More
Learn More
Invitrogen™ ARSH Polyclonal Antibody

Rabbit Polyclonal Antibody
Brand: Invitrogen™ PA5103618
This item is not returnable.
View return policy
Beschreibung
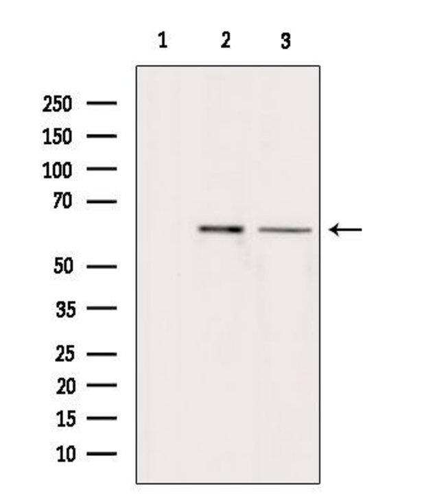
Antibody detects endogenous levels of total ARSH.
Sulfatases, such as ARSH, hydrolyze sulfate esters from sulfated steroids, carbohydrates, proteoglycans, and glycolipids. They are involved in hormone biosynthesis, modulation of cell signaling, and degradation of macromolecules.
Spezifikation
| ARSH | |
| Polyclonal | |
| Unconjugated | |
| ARSH | |
| ARSH; arylsulfatase family member H; arylsulfatase family, member H; arylsulfatase H; arylsulfatase H; arylsulfatase family member H; ASH; sulfatase | |
| Rabbit | |
| Affinity chromatography | |
| RUO | |
| 347527 | |
| -20°C | |
| Liquid |
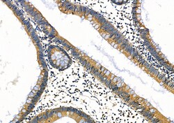
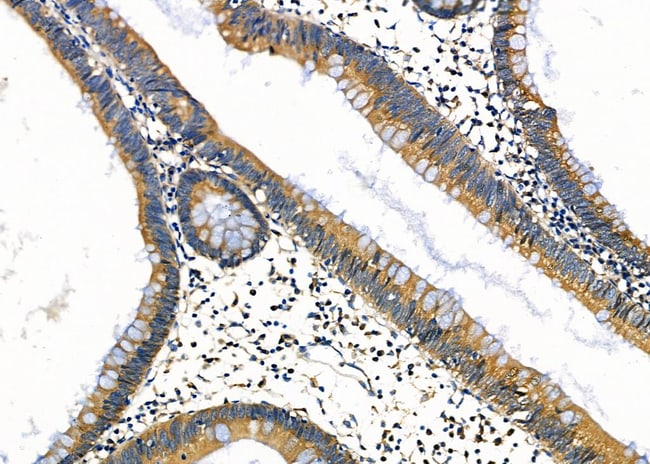
| Immunohistochemistry (Paraffin), Western Blot | |
| 1 mg/mL | |
| PBS with 50% glycerol and 0.02% sodium azide; pH 7.4 | |
| Q5FYA8 | |
| ARSH | |
| A synthesized peptide derived from human ARSH(Accession Q5FYA8), corresponding to amino acid residues R487-P537. | |
| 100 μL | |
| Primary | |
| Human, Mouse, Rat | |
| Antibody | |
| IgG |
Berichtigung von Produktinhalten
Bitte geben Sie uns Ihr Feedback zu den Produktinhalten, indem Sie das folgende Formular ausfüllen.
Name des Produkts
Haben Sie Verbesserungsvorschläge?Übermitteln Sie eine inhaltliche Korrektur