missing translation for 'onlineSavingsMsg'
Learn More
Learn More
Invitrogen™ Arylsulfatase B Polyclonal Antibody

Description
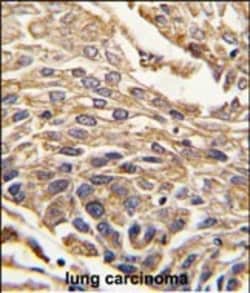
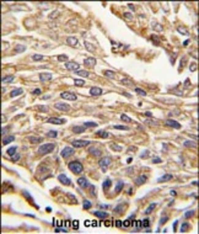
Arylsulfatase B Polyclonal Antibody for Western Blot, IHC (P)
Arylsulfatase B encoded by this gene belongs to the sulfatase family. The arylsulfatase B homodimer hydrolyzes sulfate groups of N-Acetyl-D-galactosamine, chondriotin sulfate, and dermatan sulfate. The protein is targetted to the lysozyme. Mucopolysaccharidosis type VI is an autosomal recessive lysosomal storage disorder resulting from a deficiency of arylsulfatase B. Two alternatively spliced transcript variants encoding distinct isoforms have been found for this gene.
Specifications
Specifications
| Antigen | Arylsulfatase B |
| Applications | Immunohistochemistry (Paraffin), Western Blot |
| Classification | Polyclonal |
| Concentration | 2 mg/mL |
| Conjugate | Unconjugated |
| Formulation | PBS with 0.09% sodium azide; pH 7.4 |
| Gene | ARSB |
| Gene Accession No. | P15848 |
| Gene Alias | 1110007C02Rik; AI480648; Arsb; Arylsulfatase B; Arylsulfatase B (MPS VI); arylsulfatase B complex; arylsulfatase B regulation; arylsulfatase B structural; arylsulfatase B temporal regulation; As1; As-1; As-1r; As1-r; As-1s; As1-s; As-1t; As1-t; ASB; Asr-1; Ast-1; G4S; MPS6; N-acetylgalactosamine-4-sulfatase |
| Gene Symbols | ARSB |
| Show More |
Product Title
By clicking Submit, you acknowledge that you may be contacted by Fisher Scientific in regards to the feedback you have provided in this form. We will not share your information for any other purposes. All contact information provided shall also be maintained in accordance with our Privacy Policy.
Spot an opportunity for improvement?