missing translation for 'onlineSavingsMsg'
Learn More
Learn More
Invitrogen™ ATF6 Polyclonal Antibody, Invitrogen™

Rabbit Polyclonal Antibody
Brand: Invitrogen™ PA5145239
This item is not returnable.
View return policy
Description
ATF6 is a transcription factor that acts during endoplasmic reticulum stress by activating unfolded protein response target genes. It binds DNA on the 5'-CCAC[GA]-3'half of the ER stress response element (ERSE) (5'-CCAAT-N(9)-CCAC[GA]-3') and of ERSE II (5'-ATTGG-N-CCACG-3'). Binding to ERSE requires binding of NF-Y to ERSE. ATF6 could also be involved in activation of transcription by the serum response factor. ATF6 exists as a homodimer and heterodimer with ATF6 beta. The dimer interacts with the nuclear transcription factor Y (NF-Y) trimer through direct binding to NF-Y subunit C (NF-YC). It Interacts also with the transcription factors GTF2I, YY1 and SRF. Under ER stress the cleaved N-terminal cytoplasmic domain translocates into the nucleus. The basic domain of ATF6 functions as a nuclear localization signal and the basic leucine-zipper domain is sufficient for association with the NF-Y trimer and binding to ERSE. During the unfolded protein response an approximately 50 kDa fragment containing the cytoplasmic transcription factor domain is released by proteolysis. The cleavage seems to be performed sequentially by site-1 and site-2 proteases. ATF6 is N-glycosylated, phosphorylated in vitro by MAPK14/P38MAPK and belongs to the bZIP family.
Specifications
| ATF6 | |
| Polyclonal | |
| Unconjugated | |
| ATF6 | |
| 9130025P16Rik; 9630036G24; AA617266; AA789574; ACHM7; activating transcription factor 6; activating transcription factor 6 alpha; Activating transcription factor 6 beta; ATF 6; Atf6; ATF6 alpha; ATF6A; Atf6alpha; ATF6-alpha; Atf6b; ATF6beta; ATF6-beta; cAMP response element binding protein-related protein; cAMP response element-binding protein-related protein; cAMP responsive element binding protein-like 1; cAMP-dependent transcription factor ATF-6 alpha; cAMP-dependent transcription factor ATF-6 beta; cAMP-responsive element-binding protein-like 1; Crebl1; Creb-related protein; CREB-RP; Cyclic AMP-dependent transcription factor ATF-6 alpha; cyclic AMP-dependent transcription factor ATF-6 beta; DKFZp686P2194; ESTM49; FLJ21663; G13; Processed cyclic AMP-dependent transcription factor ATF-6 alpha; Processed cyclic AMP-dependent transcription factor ATF-6 beta; Protein G13 | |
| Rabbit | |
| Antigen affinity chromatography, Protein A | |
| RUO | |
| 12915, 1388, 226641, 22926 | |
| Store at 4°C short term. For long term storage, store at -20°C, avoiding freeze/thaw cycles. | |
| Liquid |
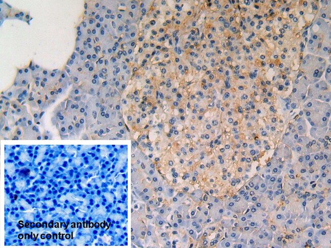
| Immunohistochemistry (Paraffin), Western Blot | |
| 0.5 mg/mL | |
| PBS with 50% glycerol and 0.05% Proclin 300; pH 7.4 | |
| F6VAN0, O35451, P18850, Q99941 | |
| ATF6, ATF6B | |
| Recombinant Human ATF6 protein, Ala423-Asn646 (Accession #P18850). | |
| 200 μL | |
| Primary | |
| Human, Mouse | |
| Antibody | |
| IgG |
Product Content Correction
Your input is important to us. Please complete this form to provide feedback related to the content on this product.
Product Title
Spot an opportunity for improvement?Share a Content Correction