missing translation for 'onlineSavingsMsg'
Learn More

ATP6V1C2 Mouse anti-Human, Clone: OTI3E9, TrueMAB™, Origene

Mouse Monoclonal Antibody

Brand:  Origene Technologies TA808257S

Encompass_Preferred

Product Code. 17509323

  • POA / 30µL

Please to purchase this item. Need a web account? Register with us today!

This item requires a price update prior to being ordered.

Request a Price for this item here.

View alternative products »

This item is not returnable. View return policy

Description

Description

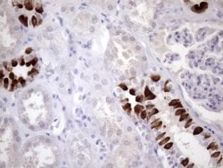
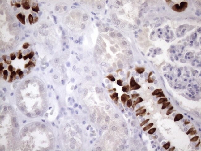
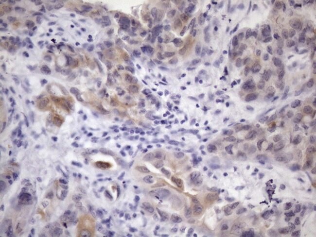
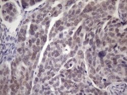
ATP6V1C2 Monoclonal antibody specifically detects ATP6V1C2 in Human samples. It is validated for Immunohistochemistry (Paraffin), Western Blot
Specifications

Specifications

ATP6V1C2
Monoclonal
1 mg/mL
PBS with 1% BSA, 50% glycerol and 0.02% sodium azide
Q8NEY4
Mouse
Affinity chromatography
RUO
245973
-20° C, Avoid Freeze/Thaw Cycles
Liquid
Immunohistochemistry (Paraffin), Western Blot
OTI3E9
Unconjugated
Atp6v1c2
1110038G14Rik; Atp6c2; Atp6v1c2; ATPase H+ transporting V1 subunit C2; ATPase, H+ transporting, lysosomal 42kDa, V1 subunit C2; ATPase, H+ transporting, lysosomal V1 subunit C2; ATPase, H+ transporting, V1 subunit C, isoform 2; vacuolar H+ ATPase C2; vacuolar proton pump subunit C 2; V-ATPase C2 subunit; V-ATPase subunit C 2; VMA5; V-type ATPase C2 subunit a isoform; V-type proton ATPase subunit C 2
Full length human recombinant protein of human ATP6V1C2 produced in E.coli.
30 μL
Primary
Human
Antibody
IgG1
Product Suggestions

Product Suggestions

Videos
SDS
Documents

Documents

Certificates
Promotions

Promotions

Product Content Correction

The Fisher Scientific Encompass Program offers items which are not part of our distribution portfolio. These products typically do not have pictures or detailed descriptions. However, we are committed to improving your shopping experience. Please use the form below to provide feedback related to the content on this product.

Product Title

By clicking Submit, you acknowledge that you may be contacted by Fisher Scientific in regards to the feedback you have provided in this form. We will not share your information for any other purposes. All contact information provided shall also be maintained in accordance with our Privacy Policy.

Thank You! Your feedback has been submitted. Fisher Scientific is always working to improve our content for you. We appreciate your feedback.