Learn More
Invitrogen™ B9D1 Polyclonal Antibody

Rabbit Polyclonal Antibody
Brand: Invitrogen™ PA596883
Description
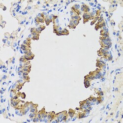
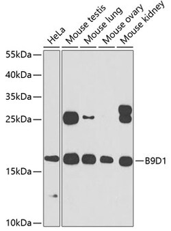
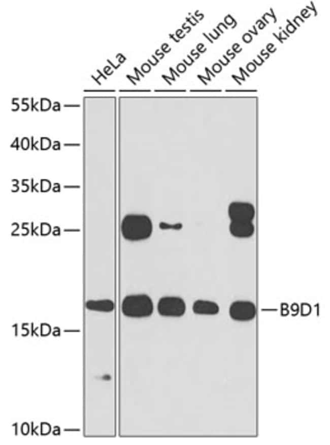
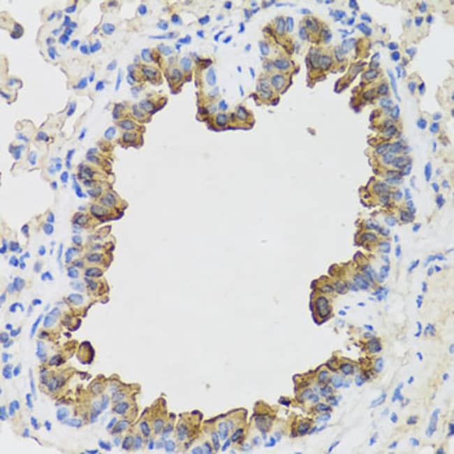
Immunogen sequence: MATASPSVFL LMVNGQVESA QFPEYDDLYC KYCFVYGQDW APTAGLEEGI SQITSKSQDV RQALVWNFPI DVTFKSTNPY GWPQIVLSVY GPDVFGNDVV RGYGAVHVPF SPGRHKRTIP MFVPESTSKL; Positive Samples: HeLa, Mouse testis, Mouse lung, Mouse ovary, Mouse kidney; Cellular Location: Cytoplasm, cilium axoneme, cilium basal body, cytoskeleton.
This gene encodes a B9 domain-containing protein, one of several that are involved in ciliogenesis. Alterations in expression of this gene have been found in a family with Meckel syndrome. Meckel syndrome has been associated with at least six different genes. This gene is located within the Smith-Magenis syndrome region on chromosome 17. Three alternatively spliced transcript variants that encode different proteins have been described for this gene.
Specifications
| B9D1 | |
| Polyclonal | |
| Unconjugated | |
| B9D1 | |
| AW045994; B9; B9 domain containing 1; B9 domain-containing protein 1; B9 protein domain 1; B9D1; Endothelial precursor cells protein B9; endothelial precursor protein B9; Eppb9; MKS1-related protein 1; MKS9; MKSR1 | |
| Rabbit | |
| Affinity Chromatography | |
| RUO | |
| 27077, 27078, 287383 | |
| -20°C, Avoid Freeze/Thaw Cycles | |
| Liquid |
| ELISA, Immunohistochemistry (Paraffin), Western Blot, Immunocytochemistry | |
| 2.72 mg/mL | |
| PBS with 50% glycerol and 0.02% sodium azide; pH 7.3 | |
| P0C5J2, Q9R1S0, Q9UPM9 | |
| B9D1 | |
| Recombinant protein (or fragment). | |
| 100 μL | |
| Primary | |
| Human, Mouse, Rat | |
| Antibody | |
| IgG |
Your input is important to us. Please complete this form to provide feedback related to the content on this product.