missing translation for 'onlineSavingsMsg'
Learn More

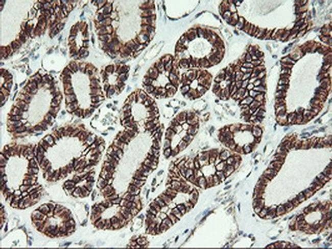
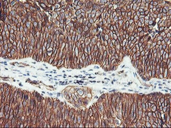
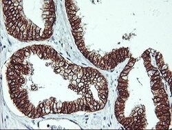
Beta-catenin Mouse anti-Human, Mouse, Clone: OTI1H10, liquid, TrueMAB™

Mouse Monoclonal Antibody

Brand:  Origene Technologies TA502300

Encompass_Preferred

Product Code. 17516521

  • € 540.87 / 100µL

Please to purchase this item. Need a web account? Register with us today!

This item is not returnable. View return policy

Description

Description

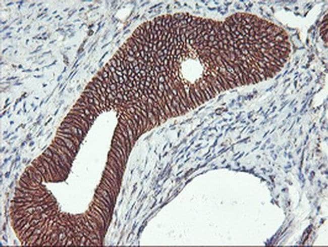
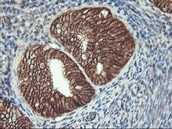
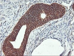
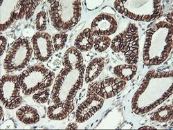
Beta-catenin, an adherens junction (AJ) protein, was originally identified as a component of cell-cell adhesion structures. AJs are necessary for the creation and maintece of epithelial cell layers by regulating cell growth and adhesion between cells. Beta-catenin interacts with the cytoplasmic domain of E-cadherin and links E-cadherin to alpha-catenin, which in turn mediates anchorage of the E-cadherin complex to the cortical actin cytoskeleton. Studies show that Beta-catenin also binds to another cytoskeletal complex containing the adenomatous polyposis coli protein and microtubules, and interacts with several signaling pathways that include tyrosine kinases, phosphatases and Wnt/Wingless. The interplay between beta-catenin, cytoskeletal complexes and signaling pathways may regulate morphogenesis. Beta-catenin is expressed in several hair follicle cell types, basal and peripheral matrix cells, and cells of the outer and inner root sheats. A pathological role of beta-catenin has been identified in pilomatrixoma (PTR), medulloblastoma (MDB), colorectal cancer (CRC), ovarian cancer, and tumor development. In the nucleus, beta-catenin serves to co activate a family of Lef/Tcf transcription factors that stimulate transcription of target genes including those encoding cyclin D and c-myc that promote cell proliferation. The influence on cell proliferation is the molecular basis for the role of beta-catenin in tumorgenesis, specifically, solid tumors of the breast, colon, liver, lung, gastric, prostate, and skin.
Specifications

Specifications

Beta-catenin
Monoclonal
0.79 mg/mL
PBS with 1% BSA, 50% glycerol and 0.02% sodium azide
P35222, Q02248
CTNNB1
Full length human recombit protein of human CTNNB1 produced in HEK293T cell.
100 μL
Primary
Human, Mouse
Antibody
IgG2b
Immunohistochemistry (Paraffin), Western Blot
OTI1H10
Unconjugated
CTNNB1
CTNNB, EVR7, MRD19, armadillo
Mouse
Affinity Chromatography
RUO
12387, 1499
-20° C, Avoid Freeze/Thaw Cycles
Liquid
Produktförslag

Produktförslag

Filmer
SDS
Dokument

Dokument

Produktspecifikationer
Kampanjer

Kampanjer

Korrigering av produktinnehåll

Fisher Scientific Encompass-programmet erbjuder artiklar som inte ingår i vår distributionsportfölj. Dessa produkter har vanligtvis inga bilder eller detaljerade beskrivningar. Vi är dock angelägna om att förbättra din shoppingupplevelse. Använd formuläret nedan för att ge feedback relaterad till innehållet på denna produkt.

Produkttitel

Genom att klicka på Skicka bekräftar du att du kan bli kontaktad av Fisher Scientific angående feedbacken du har lämnat i detta formulär. Vi kommer inte att dela din information för andra ändamål. All kontaktinformation som tillhandahålls ska också underhållas i enlighet med vår Sekretesspolicy.

Tack! Din feedback har skickats. Fisher Scientific arbetar alltid för att förbättra vårt innehåll åt dig. Vi uppskattar din feedback.