missing translation for 'onlineSavingsMsg'
Learn More

Invitrogen™ BST-2 Monoclonal Antibody (01)
GREENER_CHOICE

Mouse Monoclonal Antibody

Brand:  Invitrogen™ MA552100

Product Code. 30019817

  • € 371.00 / 100µL

Please to purchase this item. Need a web account? Register with us today!

This item is not returnable. View return policy

Description

Description

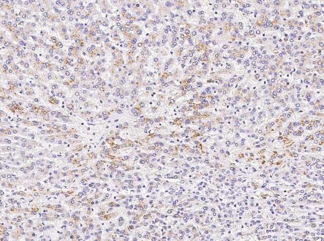
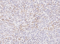
BST-2 Monoclonal Antibody for IHC (P)

BST2 (CD317, HM1.24 antigen, DAMP-2, tetherin) is an integral membrane protein that is involved in the development and growth of B-cells. The surface expression of BST2 on fibroblast cell lines facilitated the stromal cell-dependent growth of DW34, a pre-B-cell line. BST2 is highly expressed during B-cell development, from pro-B precursors to plasma cells, T-cells, monocytes, NK cells and DCs (at protein level), and myeloma cells. Research studies have shown that BST2 also functions as an inhibitor of retrovirus release from human cells whose activity is antagonized by the HIV-1 accessory protein, Vpu. While BST2 causes retention of virions on cell surfaces or endocytosis into BST2-positive compartments, its depletion abolished the viral requirement for Vpu for virus release, an activity that may represent a potential therapeutic strategy for the treatment of HIV/AIDS. Another disease associated with BST2 dysfunction is stomatitis.
TRUSTED_SUSTAINABILITY
Specifications

Specifications

BST-2
Monoclonal
1 mg/mL
PBS with no preservative
Q10589
Bst2
Recombinant Human BST2 Protein (Asn49-Ser160).
100 μL
Primary
Human
Antibody
IgG1
Immunohistochemistry (Paraffin)
01
Unconjugated
Bst2
2310015I10Rik; bone marrow stromal antigen 2; bone marrow stromal cell antigen 2; Bst2; BST-2; C87040; CD317; Damp1; DAMP-1; DAMP-1 protein homolog; GREG; HM1.24 antigen; NPC-A-7; PDCA-1; protein DAMP-1; TETHERIN
Mouse
Protein A
RUO
684
Store at 4°C short term. For long term storage, store at -20°C, avoiding freeze/thaw cycles.
Liquid
Product Suggestions

Product Suggestions

Videos
SDS
Documents

Documents

Certificates
Promotions

Promotions

Product Content Correction

Your input is important to us. Please complete this form to provide feedback related to the content on this product.

Product Title

By clicking Submit, you acknowledge that you may be contacted by Fisher Scientific in regards to the feedback you have provided in this form. We will not share your information for any other purposes. All contact information provided shall also be maintained in accordance with our Privacy Policy.

Thank You! Your feedback has been submitted. Fisher Scientific is always working to improve our content for you. We appreciate your feedback.