missing translation for 'onlineSavingsMsg'
Learn More
Learn More
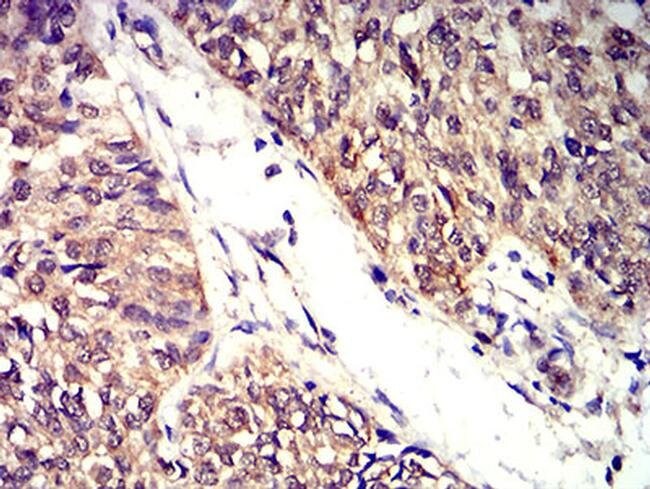
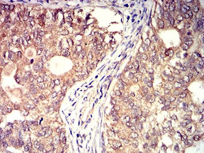
Invitrogen™ BTN2A2 Monoclonal Antibody (6C7D2)

Mouse Monoclonal Antibody
Brand: Invitrogen™ MA531657
This item is not returnable.
View return policy
Description
MA5-31657 has been tested in indirect ELISA.
Butyrophilin is the major protein associated with fat droplets in the milk. This gene is a member of the BTN2 subfamily of genes, which encode proteins belonging to the butyrophilin protein family. The gene is located in a cluster on chromosome 6, consisting of seven genes belonging to the expanding B7/butyrophilin-like group, a subset of the immunoglobulin gene superfamily. The encoded protein is a type I receptor glycoprotein involved in lipid, fatty-acid and sterol metabolism. Several alternatively spliced transcript variants encoding different isoforms have been found for this gene.
Specifications
| BTN2A2 | |
| Monoclonal | |
| 1 mg/mL | |
| PBS with 0.05% sodium azide | |
| Q8WVV5 | |
| BTN2A2 | |
| Purified recombinant fragment of human BTN2A2 (AA: extra 57-237) expressed in E. coli. | |
| 100 μL | |
| Primary | |
| Human | |
| Antibody | |
| IgG1 |
| ELISA, Flow Cytometry, Immunohistochemistry (Paraffin), Western Blot | |
| 6C7D2 | |
| Unconjugated | |
| BTN2A2 | |
| BT2.2; BTF2; Btn2; BTN2.2; BTN2A2; butyrophilin 2; butyrophilin subfamily 2 member A2; butyrophilin, subfamily 2, member A2; D030063K05 | |
| Mouse | |
| Protein G | |
| RUO | |
| 10385 | |
| Store at 4°C short term. For long term storage, store at -20°C, avoiding freeze/thaw cycles. | |
| Liquid |
Product Content Correction
Your input is important to us. Please complete this form to provide feedback related to the content on this product.
Product Title
Spot an opportunity for improvement?Share a Content Correction