missing translation for 'onlineSavingsMsg'
Learn More

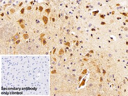
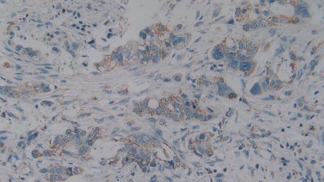
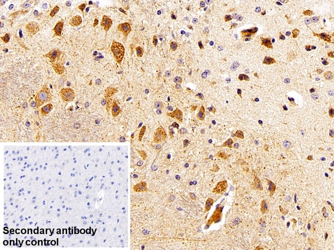
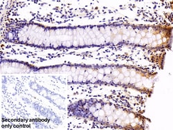
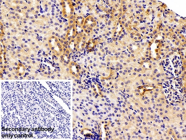
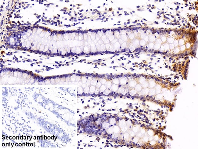
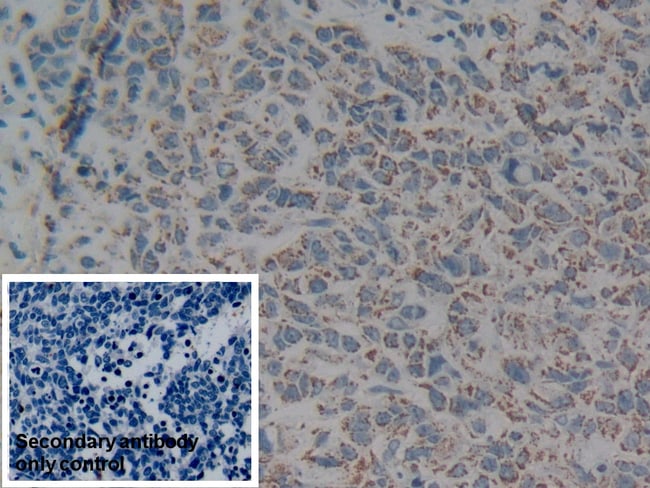
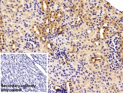
Invitrogen™ C1QBP Polyclonal Antibody

Product Code. 17723584
Change view
Click to view available options
Quantity:
20 μL
200 μL
Unit Size:
200µL
20µL
2 product options available for selection
Product selection table with 2 available options. Use arrow keys to navigate and Enter or Space to select.
Product Code. Quantity unitSize
17723584 20 μL 20µL
17780454 200 μL 200µL
Use arrow keys to navigate between rows. Press Enter or Space to select a product option. 2 options available.
2 options
This item is not returnable. View return policy
Product Code. 17723584 Supplier Invitrogen™ Supplier No. PA5122184

Please to purchase this item. Need a web account? Register with us today!

This item is not returnable. View return policy

Rabbit Polyclonal Antibody

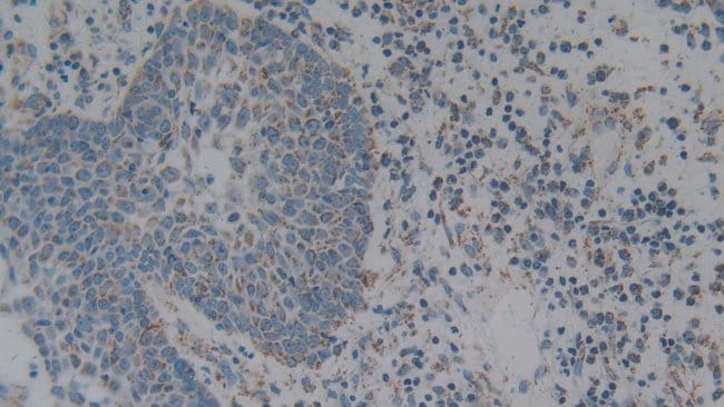
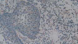
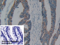
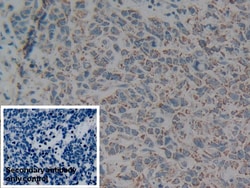
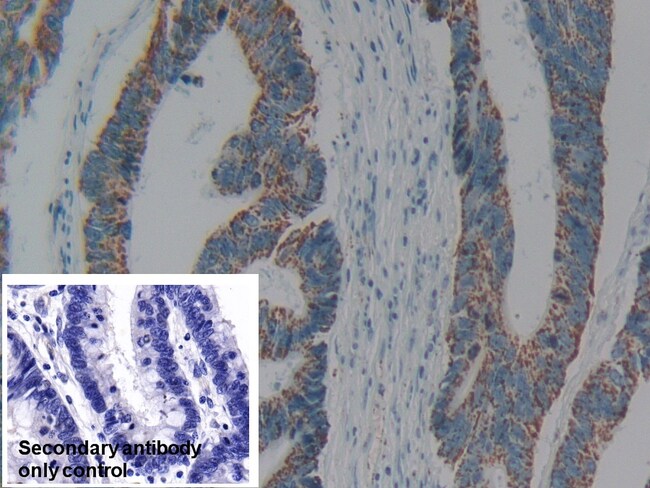
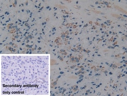
C1QBP Polyclonal Antibody for Western Blot, ICC/IF, IHC (P), Flow

Replication Protein A (RPA) (also known as human single-stranded DNA binding protein, or HSSB) is involved in DNA replication, repair, and recombination. RPA from human cells is a stable heterotrimer of 70kDa, 32-34kDa, and 11-14kDa subunits (RPA70, RPA32, and RPA14 respectively). RPA is required for the SV40 large tumor antigen-catalyzed unwinding of SV40 DNA and stimulates DNA polymerase alpha and delta. RPA34 is phosphorylated at the G1/S boundary of the cell cycle or upon exposure of cells to DNA damage-inducing agents including ionizing and UV radiation.
TRUSTED_SUSTAINABILITY

Specifications

Antigen C1QBP
Applications Flow Cytometry, Immunohistochemistry (Paraffin), Western Blot, Immunocytochemistry
Classification Polyclonal
Concentration 0.5 mg/mL
Conjugate Unconjugated
Formulation PBS with 50% glycerol and 0.05% ProClin 300; pH 7.4
Gene C1QBP
Gene Accession No. O35658, Q07021
Gene Alias AA407365; AA986492; ASF/SF2-associated protein p32; C1q globular domain-binding protein; C1QBP; complement C1q binding protein; complement component 1 Q subcomponent-binding protein, mitochondrial; complement component 1, q subcomponent binding protein; D11Wsu182e; GC1QBP; gC1qR; gC1Q-R; gC1q-R protein; glycoprotein gC1qBP; HABP1; Hyaluronan-binding protein 1; mitochondrial matrix protein p32; p32; p33; RPA; SF2AP32; SF2p32; splicing factor SF2-associated protein
Gene Symbols C1QBP
Host Species Rabbit
Immunogen Recombinant protein Complement component 1 Q subcomponent-binding protein, mitochondrial. The antigen corresponds to amino acid range 76-282 of the target protein.
Purification Method Antigen affinity chromatography, Protein A
Quantity 20 μL
Regulatory Status RUO
Primary or Secondary Primary
Gene ID (Entrez) 12261, 708
Target Species Human, Mouse
Content And Storage Store at 4°C short term. For long term storage, store at -20°C, avoiding freeze/thaw cycles.
Product Type Antibody
Form Liquid
Isotype IgG
Show More Show Less
Product Title
Select an issue

By clicking Submit, you acknowledge that you may be contacted by Fisher Scientific in regards to the feedback you have provided in this form. We will not share your information for any other purposes. All contact information provided shall also be maintained in accordance with our Privacy Policy.