missing translation for 'onlineSavingsMsg'
Learn More
Learn More
Description
Immunogen sequence: DYLYFQVLSP GDIRYIFTAT PAKDFGGIFH TRYEQIHLVP AEPPEACGEL SNGFFIQDQI ALVERGGCSF LSKTRVVQ Highest antigen sequence identity to the following orthologs: Mouse - 100%, Rat - 100%.
Specifications
Specifications
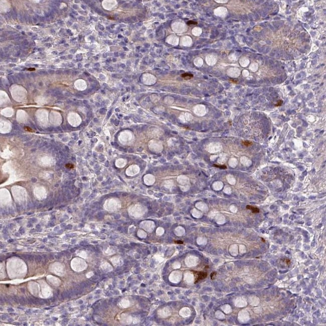
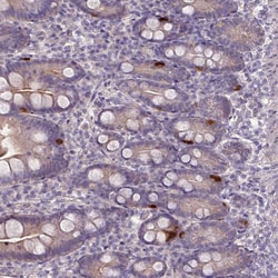
| Antigen | C2orf7 |
| Applications | Immunohistochemistry (Paraffin) |
| Classification | Polyclonal |
| Concentration | 0.05 mg/mL |
| Conjugate | Unconjugated |
| Formulation | PBS with 40% glycerol and 0.02% sodium azide; pH 7.2 |
| Gene | PRADC1 |
| Gene Accession No. | Q9BSG0 |
| Gene Alias | C2orf7; hPAP21; PAP21; PRADC1; protease associated domain containing 1; protease-associated domain containing 1; protease-associated domain-containing glycoprotein 21 kDa; protease-associated domain-containing protein 1; Protease-associated domain-containing protein of 21 kDa; UNQ833/PRO1760 |
| Gene Symbols | PRADC1 |
| Show More |
Product Title
By clicking Submit, you acknowledge that you may be contacted by Fisher Scientific in regards to the feedback you have provided in this form. We will not share your information for any other purposes. All contact information provided shall also be maintained in accordance with our Privacy Policy.
Spot an opportunity for improvement?
