missing translation for 'onlineSavingsMsg'
Learn More

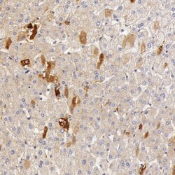
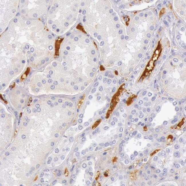
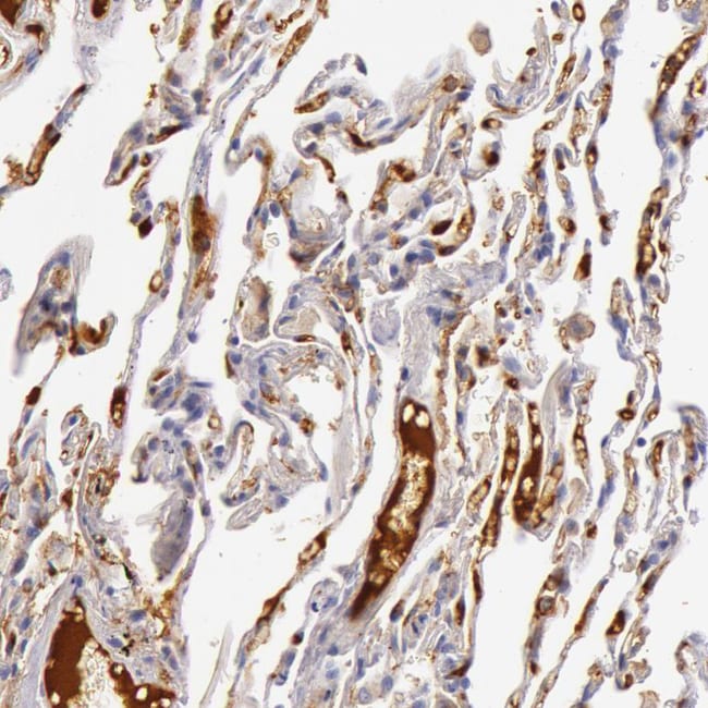
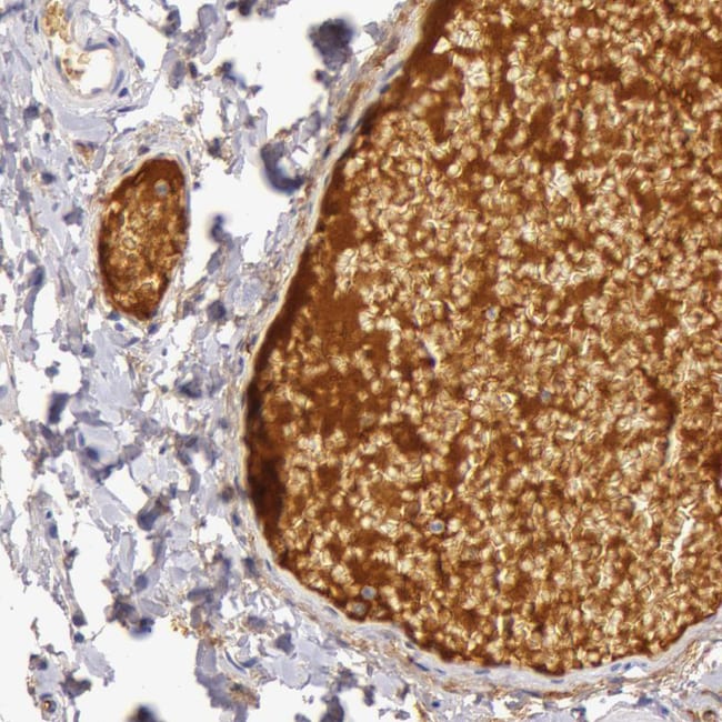
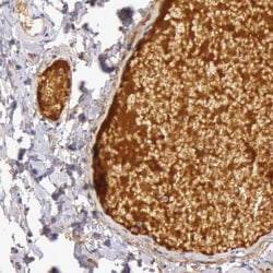
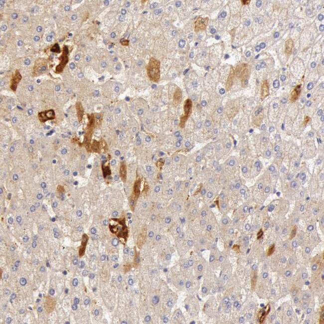
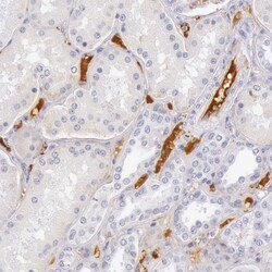
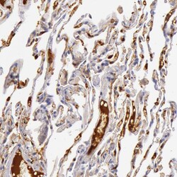
Invitrogen™ C4BPA Polyclonal Antibody

Product Code. 16328924
Change view
Click to view available options
Quantity:
100 μL
Unit Size:
100µL
1 product options available for selection
Product selection table with 1 available options. Use arrow keys to navigate and Enter or Space to select.
Product Code. Quantity unitSize
16328924 100 μL 100µL
Use arrow keys to navigate between rows. Press Enter or Space to select a product option. 1 options available.
1 options
This item is not returnable. View return policy
Product Code. 16328924 Supplier Invitrogen™ Supplier No. PA581954

Please to purchase this item. Need a web account? Register with us today!

This item is not returnable. View return policy

Rabbit Polyclonal Antibody

Immunogen sequence: VLRGSSVIHC DADSKWNPSP PACEPNSCTN LPDIPHASWE TYPRPTKEDV YVVGTVLRYR CHPGYKPTTD EPTTVICQKN LRWTPYQGCE ALCCPEPKLN NGEITQHRKS RPANHCVYFY GDEISFSCHE TSRFSAICQG DG Highest antigen sequence indentity to the following orthologs: Rat - 56%, Mouse - 45%.

There are 3 variants of Complement component 4 binding protein (C4bp), which is composed of alpha and beta chains. The predominant form is a 570 kDa complex of 7 alpha chains and 1 beta chain. The other complexes formed are a 530 kDa homoheptamer of alpha chains or a 500 kDa complex of 6 alpha chains and 1 beta chain. C4bp regulates the activation of the classical complement pathway. It is a cofactor to the C3b/C4b inactivator, crucial to the proteolytic cleavage of C4b and important in cleavage of C3b. C4bp also regulates the C4bC2a complex (C3 convertase), accelerating its degradation by dissociating the complement fragment C2a. Both the C4bp alpha and beta chains interact with anticoagulant protein S and C4bp alpha binds protein S. C4bp is expressed in the blood serum.
TRUSTED_SUSTAINABILITY

Specifications

Antigen C4BPA
Applications Immunohistochemistry (Paraffin), Western Blot
Classification Polyclonal
Concentration 0.1 mg/mL
Conjugate Unconjugated
Formulation PBS with 40% glycerol and 0.02% sodium azide; pH 7.2
Gene C4BPA
Gene Accession No. P04003
Gene Alias AI195242; C4b-binding protein; C4b-binding protein alpha chain; C4bp; C4bpa; complement component 4 binding protein; complement component 4 binding protein alpha; complement component 4 binding protein, alpha; proline-rich protein; PRP; RP11-164O23.4
Gene Symbols C4BPA
Host Species Rabbit
Immunogen Recombinant protein corresponding to Human C4BPA. Recombinant protein control fragment (Product #RP-95396).
Purification Method Antigen affinity chromatography
Quantity 100 μL
Regulatory Status RUO
Primary or Secondary Primary
Gene ID (Entrez) 722
Target Species Human
Content And Storage Store at 4°C short term. For long term storage, store at -20°C, avoiding freeze/thaw cycles.
Product Type Antibody
Form Liquid
Isotype IgG
Show More Show Less
Product Title
Select an issue

By clicking Submit, you acknowledge that you may be contacted by Fisher Scientific in regards to the feedback you have provided in this form. We will not share your information for any other purposes. All contact information provided shall also be maintained in accordance with our Privacy Policy.