missing translation for 'onlineSavingsMsg'
Learn More
Learn More
Invitrogen™ C6orf211 Polyclonal Antibody

Rabbit Polyclonal Antibody
Brand: Invitrogen™ PA551793
This item is not returnable.
View return policy
Description
Immunogen sequence: VEAEKKAISL LSKLRNELQT DKPFIPLVEK FVDTDIWNQY LEYQQSLLNE SDGKSRWFYS PWLLVECYMY RRIHEAIIQS PPIDYFDVFK ESKEQNFYGS QESIIALCTH LQQLIRTIED L Highest antigen sequence identity to the following orthologs: Mouse - 76%, Rat - 81%.
ARMT1 gene ontology annotations related to this gene include protein carboxyl O-methyltransferase activity.
Specifications
| C6orf211 | |
| Polyclonal | |
| Unconjugated | |
| ARMT1 | |
| Acidic residue methyltransferase 1; ARMT1; C6orf211; Damage-control phosphatase ARMT1; Protein-glutamate O-methyltransferase; Sugar phosphate phosphatase ARMT1; UPF0364 protein C6orf211 | |
| Rabbit | |
| Antigen Affinity Chromatography | |
| RUO | |
| 79624 | |
| Store at 4°C short term. For long term storage, store at -20°C, avoiding freeze/thaw cycles. | |
| Liquid |
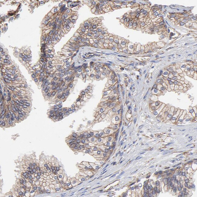
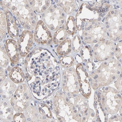
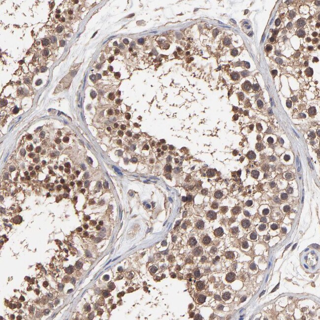
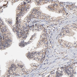
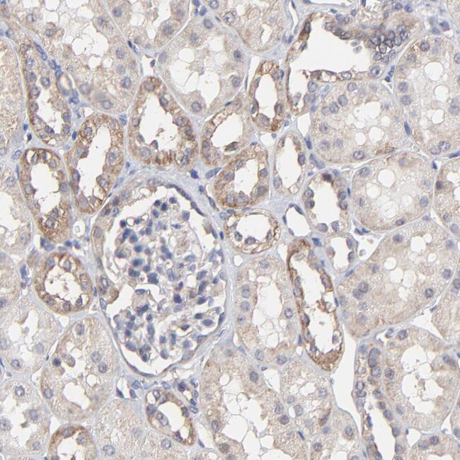
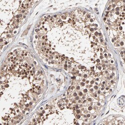
| Immunohistochemistry (Paraffin), Western Blot, Immunocytochemistry | |
| 0.1 mg/mL | |
| PBS with 40% glycerol and 0.02% sodium azide; pH 7.2 | |
| Q9H993 | |
| ARMT1 | |
| Recombinant protein corresponding to Human C6orf211. Recombinant protein control fragment (Product #RP-102001). | |
| 100 μL | |
| Primary | |
| Human | |
| Antibody | |
| IgG |
Product Content Correction
Your input is important to us. Please complete this form to provide feedback related to the content on this product.
Product Title
Spot an opportunity for improvement?Share a Content Correction