missing translation for 'onlineSavingsMsg'
Learn More

Invitrogen™ Calpain 2 Polyclonal Antibody

Product Code. 13433557
Change view
Click to view available options
Quantity:
100 μL
Unit Size:
100µL
1 product options available for selection
Product selection table with 1 available options. Use arrow keys to navigate and Enter or Space to select.
Product Code. Quantity unitSize
13433557 100 μL 100µL
Use arrow keys to navigate between rows. Press Enter or Space to select a product option. 1 options available.
1 options
This item is not returnable. View return policy
Product Code. 13433557 Supplier Invitrogen™ Supplier No. PA529381

Please to purchase this item. Need a web account? Register with us today!

This item is not returnable. View return policy

Rabbit Polyclonal Antibody

Recommended positive controls: 293T, A431, mouse brain. Predicted reactivity: Mouse (91%), Rat (91%), Pig (94%), Rabbit (93%), Chicken (86%), Sheep (94%), Rhesus Monkey (98%), Bovine (93%). Store product as a concentrated solution. Centrifuge briefly prior to opening the vial.

Mu-Calpain, also known as Calpain-I, and m-calpain, also known as Calpain-II, are intracellular, calcium-dependent cysteine proteases. Mu-calpain has a micromolar sensitivity (thus the mu-) as compared to the millimolar calcium sensitivity of m-calpain.
TRUSTED_SUSTAINABILITY

Specifications

Antigen Calpain 2
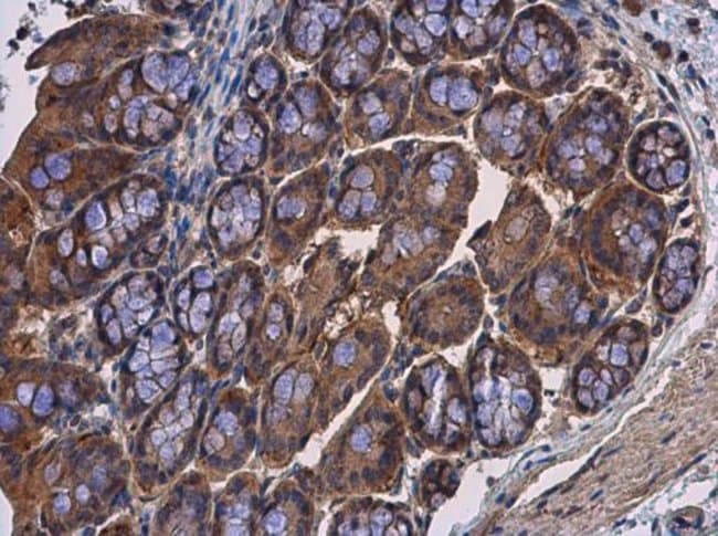
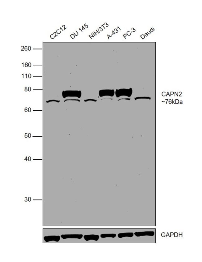
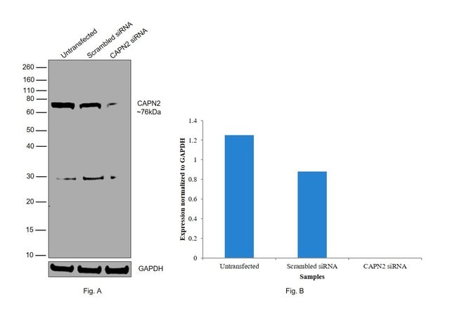
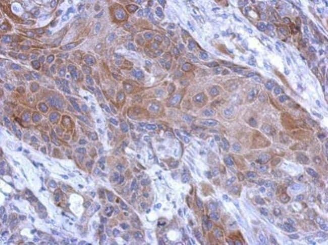
Applications Immunohistochemistry (Paraffin), Western Blot
Classification Polyclonal
Concentration 0.47 mg/mL
Conjugate Unconjugated
Formulation PBS with 1% BSA, 20% glycerol and 0.01% thimerosal; pH 7
Gene CAPN2
Gene Accession No. O08529, P17655
Gene Alias 80 kDa M-calpain subunit; AI326419; Calcium-activated neutral proteinase 2; calcium-dependent protease; CALP80; calpain 2; calpain 2, (m/II) large subunit; calpain 2, large [catalytic] subunit; calpain 2, large subunit; calpain II; calpain large polypeptide L2; Calpain M-type; calpain, large polypeptide L2; calpain-2 catalytic subunit; Calpain-2 large subunit; CANP 2; CANP2; CANPL2; CANPml; Capa2; Capa-2; CAPN2; cysteine proteinase; m-calpain; m-calpain 80 kDa large subunit; m-calpain large subunit; m-calpin; mCANP; millimolar-calpain
Gene Symbols CAPN2
Host Species Rabbit
Immunogen Recombinant protein encompassing a sequence within the center region of human Calpain 2. The exact sequence is proprietary.
Purification Method Antigen affinity chromatography
Quantity 100 μL
Regulatory Status RUO
Primary or Secondary Primary
Gene ID (Entrez) 12334, 824
Target Species Human, Mouse
Content And Storage Store at 4°C short term. For long term storage, store at -20°C, avoiding freeze/thaw cycles.
Product Type Antibody
Form Liquid
Isotype IgG
Show More Show Less
Product Title
Select an issue

By clicking Submit, you acknowledge that you may be contacted by Fisher Scientific in regards to the feedback you have provided in this form. We will not share your information for any other purposes. All contact information provided shall also be maintained in accordance with our Privacy Policy.