missing translation for 'onlineSavingsMsg'
Learn More
Learn More
Invitrogen™ CAPN14 Polyclonal Antibody

Rabbit Polyclonal Antibody
Brand: Invitrogen™ PA568379
This item is not returnable.
View return policy
Description
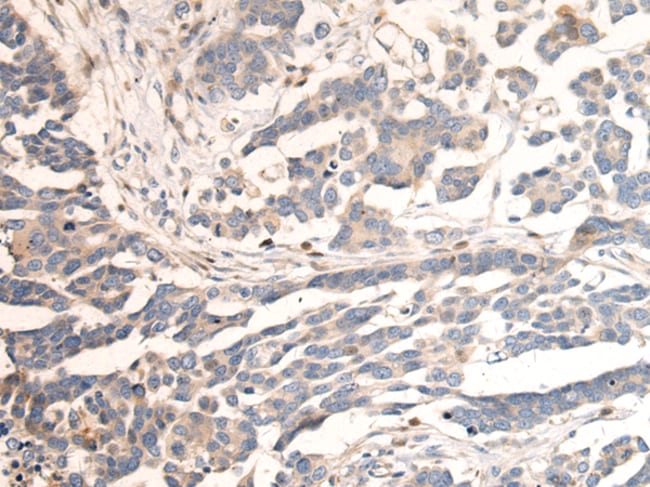
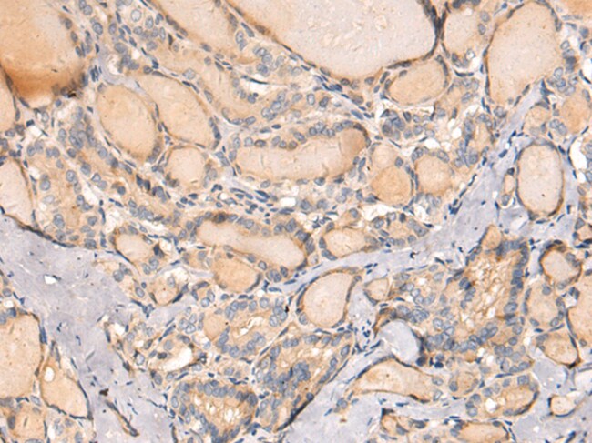
CAPN14 Polyclonal Antibody for Western Blot, IHC (P)
Calpains are a family of cytosolic calcium-activated cysteine proteases involved in a variety of cellular processes including apoptosis, cell division, modulation of integrin-cytoskeletal interactions, and synaptic plasticity. CAPN14 belongs to the calpain large subunit family.
Specifications
| CAPN14 | |
| Polyclonal | |
| Unconjugated | |
| CAPN14 | |
| Calcium-activated neutral proteinase 14; calpain 14; calpain-14; CANP 14; CAPN14 | |
| Rabbit | |
| Antigen affinity chromatography | |
| RUO | |
| 440854 | |
| -20°C | |
| Liquid |
| Immunohistochemistry (Paraffin), Western Blot | |
| 2 mg/mL | |
| PBS with 40% glycerol and 0.05% sodium azide; pH 7.4 | |
| A8MX76 | |
| CAPN14 | |
| Synthesized peptide derived from human CAPN14. | |
| 100 μL | |
| Primary | |
| Human | |
| Antibody | |
| IgG |
Product Title
By clicking Submit, you acknowledge that you may be contacted by Fisher Scientific in regards to the feedback you have provided in this form. We will not share your information for any other purposes. All contact information provided shall also be maintained in accordance with our Privacy Policy.
Spot an opportunity for improvement?