missing translation for 'onlineSavingsMsg'
Learn More

Novus Biologicals™ Carbonic Anhydrase III/CA3 Antibody (CA3/7884), Novus Biologicals™

Mouse Monoclonal Antibody

Brand:  Novus Biologicals™ NBP3-26745-20ug

 View more versions of this product

Product Code. 30043853

  • € 232.00 / 20µg

Please to purchase this item. Need a web account? Register with us today!

This item is not returnable. View return policy

Description

Description

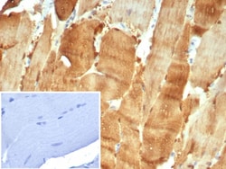
Carbonic Anhydrase III/CA3 Monoclonal antibody specifically detects Carbonic Anhydrase III/CA3 in Human samples. It is validated for Immunohistochemistry (Paraffin)
TRUSTED_SUSTAINABILITY
Specifications

Specifications

Carbonic Anhydrase III/CA3
Monoclonal
0.2 mg/mL
Immunohistochemistry-Paraffin 1-2 μg/mL for 30 minutes at RT
CAIII, CA-III, Car3, Carbonate dehydratase III, carbonic anhydrase 3, Carbonic anhydrase III, carbonic anhydrase III, muscle specific, EC 4.2.1.1
Recombinant fragment of human Carbonic Anhydrase III/CA3 protein (exact sequence is proprietary)
20 μg
Lipid and Metabolism
761
Store at 4°C.
IgG2 κ
Immunohistochemistry (Paraffin)
CA3/7884
Unconjugated
10 mM PBS with 0.05% BSA
Mouse
Protein A or G purified
RUO
Primary
Human
Purified
Product Suggestions

Product Suggestions

Videos
SDS
Documents

Documents

Certificates
Promotions

Promotions

Product Content Correction

Your input is important to us. Please complete this form to provide feedback related to the content on this product.

Product Title

By clicking Submit, you acknowledge that you may be contacted by Fisher Scientific in regards to the feedback you have provided in this form. We will not share your information for any other purposes. All contact information provided shall also be maintained in accordance with our Privacy Policy.

Thank You! Your feedback has been submitted. Fisher Scientific is always working to improve our content for you. We appreciate your feedback.