missing translation for 'onlineSavingsMsg'
Learn More
Learn More
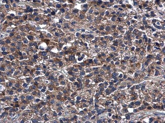
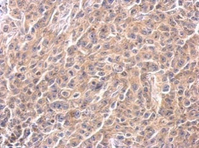
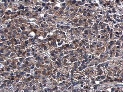
Invitrogen™ Caspase 4 Polyclonal Antibody

Description
Recommended positive controls: H1299, K562, THP-1, HL-60, myc-tagged human caspas4-transfected 293T cells. Predicted reactivity: Rhesus Monkey (96%), Bovine (84%). Store product as a concentrated solution. Centrifuge briefly prior to opening the vial.
This gene encodes a protein that is a member of the cysteine-aspartic acid protease (caspase) family. Sequential activation of caspases plays a central role in the execution-phase of cell apoptosis. Caspases exist as inactive proenzymes composed of a prodomain and a large and small protease subunit. Activation of caspases requires proteolytic processing at conserved internal aspartic residues to generate a heterodimeric enzyme consisting of the large and small subunits. This caspase is able to cleave and activate its own precursor protein, as well as caspase 1 precursor. When overexpressed, this gene induces cell apoptosis. Alternative splicing results in transcript variants encoding distinct isoforms.
Specifications
Specifications
| Antigen | Caspase 4 |
| Applications | Immunohistochemistry (Paraffin), Western Blot |
| Classification | Polyclonal |
| Concentration | 0.89 mg/mL |
| Conjugate | Unconjugated |
| Formulation | 0.1M tris glycine with 20% glycerol and 0.01% thimerosal; pH 7 |
| Gene | CASP4 |
| Gene Accession No. | P49662 |
| Gene Alias | apoptotic cysteine protease Mih1/TX; Casp11; CASP-11; CASP4; CASP-4; caspase 11; caspase 4; caspase 4, apoptosis-related cysteine peptidase; caspase 4, apoptosis-related cysteine protease; Caspase-11; Caspase-4; Caspase-4 subunit 1; Caspase-4 subunit 2; Caspase-4 subunit p10; Caspase-4 subunit p20; Caspl; ICE and Ced-3 homolog 2; ICE(rel)II; ICE(rel)-II; ICEREL-II; ICH2; ICH-2; Ich3; ich-3; Mih1; Mih1/TX; protease ICH-2; Protease ICH-3; Protease TX; TX |
| Gene Symbols | CASP4 |
| Show More |
Product Title
By clicking Submit, you acknowledge that you may be contacted by Fisher Scientific in regards to the feedback you have provided in this form. We will not share your information for any other purposes. All contact information provided shall also be maintained in accordance with our Privacy Policy.
Spot an opportunity for improvement?