missing translation for 'onlineSavingsMsg'
Learn More
Learn More
Invitrogen™ CBF beta Recombinant Rabbit Monoclonal Antibody (JG39-35)

Rabbit Recombinant Monoclonal Antibody
Brand: Invitrogen™ MA534797
This item is not returnable.
View return policy
Description
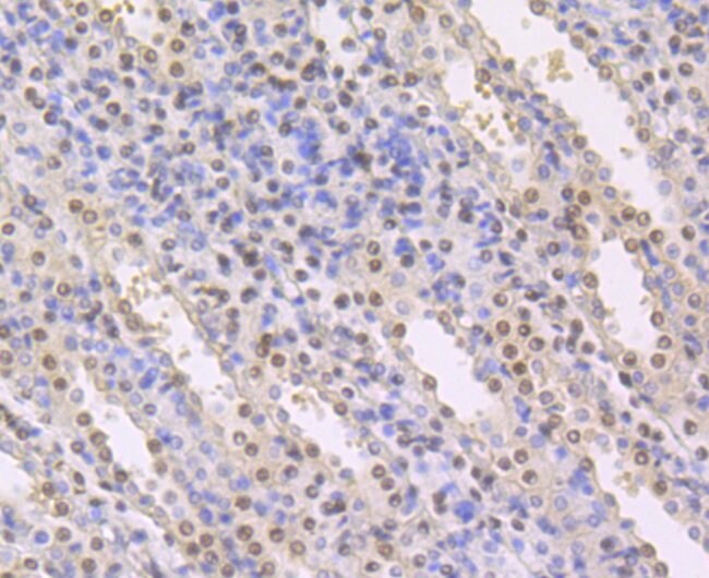
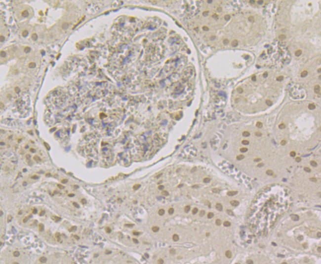
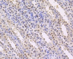
Positive Control: Rat kidney tissue, human kidney tissue, SiHa.
The protein encoded by this gene is the beta subunit of a heterodimeric core-binding transcription factor belonging to the PEBP2/CBF transcription factor family which master-regulates a host of genes specific to hematopoiesis (e.g., RUNX1) and osteogenesis (e.g., RUNX2). The beta subunit is a non-DNA binding regulatory subunit; it allosterically enhances DNA binding by alpha subunit as the complex binds to the core site of various enhancers and promoters, including murine leukemia virus, polyomavirus enhancer, T-cell receptor enhancers and GM-CSF promoters. Alternative splicing generates two mRNA variants, each encoding a distinct carboxyl terminus. In some cases, a pericentric inversion of chromosome 16 [inv(16)(p13q22)] produces a chimeric transcript consisting of the N terminus of core-binding factor beta in a fusion with the C-terminal portion of the smooth muscle myosin heavy chain 11. This chromosomal rearrangement is associated with acute myeloid leukemia of the M4Eo subtype. Two transcript variants encoding different isoforms have been found for this gene.
Specifications
| CBF beta | |
| Recombinant Monoclonal | |
| 1 mg/mL | |
| TBS with 0.05% BSA, 40% glycerol and 0.05% sodium azide; pH 7.4 | |
| Q13951 | |
| CBFB | |
| Recombinant protein within Human CBFb aa 60-182. | |
| 100 μL | |
| Primary | |
| Human | |
| Antibody | |
| IgG |
| Flow Cytometry, Immunohistochemistry (Paraffin), Western Blot | |
| JG39-35 | |
| Unconjugated | |
| CBFB | |
| AI893578; CBFB; CBF-beta; core binding factor beta; core-binding factor subunit beta; core-binding factor, beta subunit; PEA2; PEA2-beta; Pebp2; PEBP2B; PEBP2-beta; Pebpb2; polyomavirus enhancer binding protein 2, beta subunit; polyomavirus enhancer-binding protein 2 beta subunit; SL3/AKV core-binding factor beta subunit; SL3-3 enhancer factor 1 beta subunit; SL3-3 enhancer factor 1 subunit beta | |
| Rabbit | |
| Protein A | |
| RUO | |
| 865 | |
| -20°C, Avoid Freeze/Thaw Cycles, store in dark | |
| Liquid |
Product Content Correction
Your input is important to us. Please complete this form to provide feedback related to the content on this product.
Product Title
Spot an opportunity for improvement?Share a Content Correction