missing translation for 'onlineSavingsMsg'
Learn More

CBX8 Monoclonal Antibody (OTI3A11), TrueMAB™, OriGene

Mouse Monoclonal Antibody

Brand:  Origene Technologies TA800492

Encompass_Preferred

 View more versions of this product

Product Code. 17588402

  • € 540.87 / 100µL

Please to purchase this item. Need a web account? Register with us today!

This item is not returnable. View return policy

Description

Description

Chromobox homolog 8 (CBX8 or Pc3) is a member of Drosophila Polycomb group gene family. The polycomb group (PcG) genes are essential for maintece of appropriate expression patterns of developmental master regulators and thus are essential for proper development. Changes in expression of PcG proteins have been associated with cancer. CBX8 is involved in maintaining the transcriptionally repressive state of genes. It modifies chromatin, rendering it heritably changed in its expressibility. Structurally, CBX4 contains 1 chromo domain, which is 40 to 50 amino acids long.
Specifications

Specifications

CBX8
Monoclonal
1 mg/mL
PBS with 1% BSA, 50% glycerol and 0.02% sodium azide
Q9HC52
CBX8
Human recombit protein fragment corresponding to amino acids 1-260 of human CBX8 produced in E.coli.
100 μL
Primary
Human
Antibody
IgG2b
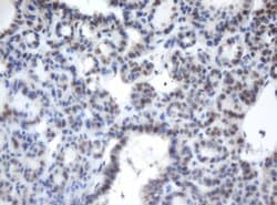
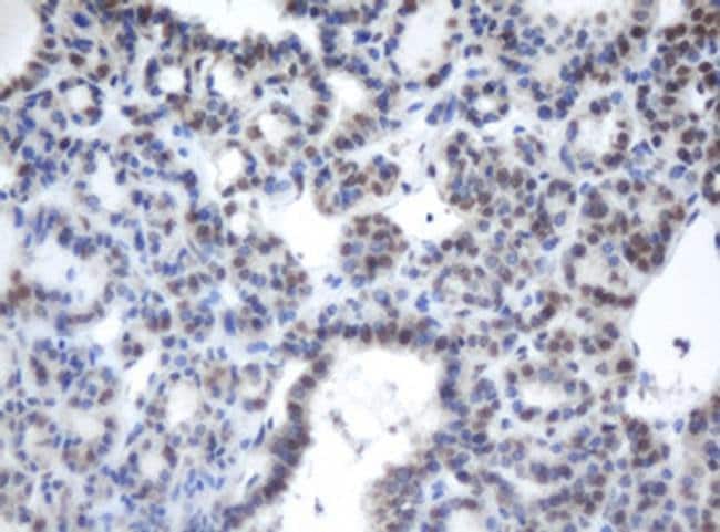
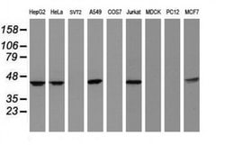
Immunohistochemistry (Paraffin), Western Blot
OTI3A11
Unconjugated
CBX8
PC3, RC1
Mouse
Affinity Chromatography
RUO
57332
-20° C, Avoid Freeze/Thaw Cycles
Liquid
Product Suggestions

Product Suggestions

Videos
SDS
Documents

Documents

Certificates
Promotions

Promotions

Product Content Correction

The Fisher Scientific Encompass Program offers items which are not part of our distribution portfolio. These products typically do not have pictures or detailed descriptions. However, we are committed to improving your shopping experience. Please use the form below to provide feedback related to the content on this product.

Product Title

By clicking Submit, you acknowledge that you may be contacted by Fisher Scientific in regards to the feedback you have provided in this form. We will not share your information for any other purposes. All contact information provided shall also be maintained in accordance with our Privacy Policy.

Thank You! Your feedback has been submitted. Fisher Scientific is always working to improve our content for you. We appreciate your feedback.