missing translation for 'onlineSavingsMsg'
Learn More
Learn More
Invitrogen™ STIM1 Recombinant Rabbit Monoclonal Antibody (23GB2415), Invitrogen™

Rabbit Recombinant Monoclonal Antibody
Brand: Invitrogen™ MA553572
This item is not returnable.
View return policy
Description
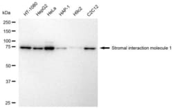
STIM1 (stromal interacting molecule; also known as GOK) acts as a sensor of calcium depletion within the endoplasmic reticulum and transduces the signal to Orai1, the presumptive CRAC channel at the plasma membrane. Following decrease of luminal calcium concentration, STIM1 oligomerizes and induces Orai1 to enable entry of extracellular calcium into the cytoplasm. However, the precise mechanism of STIM1-Orai1 interaction has not been elucidated yet. Many questions also remain to be solved around STIM1 functional distribution. It turns out that STIM1 associates with growing ends of microtubules and is involved in endoplasmic reticulum tubule extension.
Specifications
| STIM1 | |
| Recombinant Monoclonal | |
| 0.5 mg/mL | |
| PBS with 50% glycerol and 0.02% sodium azide; pH 7.4 | |
| P70302, P84903, Q13586 | |
| STIM1 | |
| A synthesized peptide derived from human Stromal interaction molecule 1 (601-685AA). | |
| 100 μL | |
| Primary | |
| Human, Mouse, Rat | |
| Antibody | |
| IgG |
| Flow Cytometry, Western Blot, Immunocytochemistry | |
| 23GB2415 | |
| Unconjugated | |
| STIM1 | |
| D11S4896E; GOK; IMD10; RGD:1306831}; SIM; Stim1; stim1 {ECO:0000312; STIM1L; STRMK; Stromal interaction molecule 1; stromal interaction molecule 1 precursor; TAM; TAM1 | |
| Rabbit | |
| Affinity chromatography | |
| RUO | |
| 20866, 361618, 6786 | |
| -20°C | |
| Liquid |
Product Content Correction
Your input is important to us. Please complete this form to provide feedback related to the content on this product.
Product Title
Spot an opportunity for improvement?Share a Content Correction