missing translation for 'onlineSavingsMsg'
Learn More
Learn More
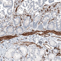
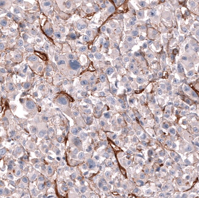
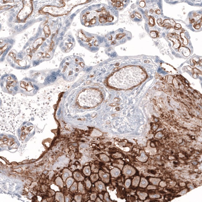
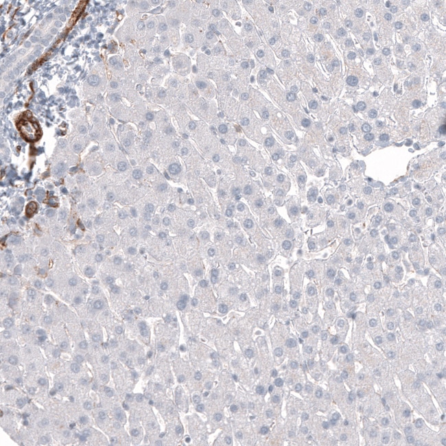
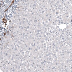
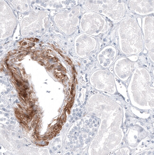
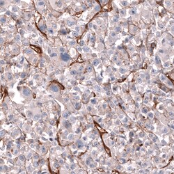
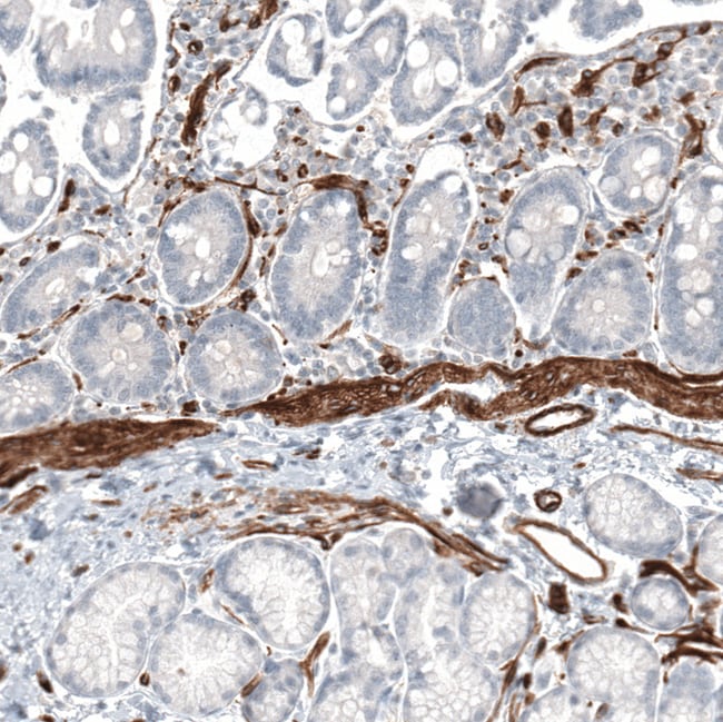
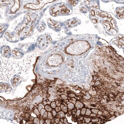
Invitrogen™ CD146 Monoclonal Antibody (CL12855)

Mouse Monoclonal Antibody
Brand: Invitrogen™ MA546527
This item is not returnable.
View return policy
Description
Highest antigen sequence indentity to the following orthologs: Mouse - 75%, Rat - 73%.
CD146, also known as MCAM (Melanoma Cell Adhesion Molecule), is an integral membrane glycoprotein belonging to the immunoglobulin superfamily. It is heavily glycosylated, with more than 50% of its mass derived from carbohydrates. CD146 is primarily expressed on endothelial cells at cell-cell junctions, playing a crucial role in cell adhesion and the cohesion of the endothelial monolayer in vascular tissue. In addition to endothelial cells, CD146 is expressed on bone marrow fibroblasts, mesenchymal stromal cells, endometrial stromal cells, and some tumors, particularly melanoma. It has also been observed on a subset of circulating T cells and activated lymphocytes, but not on circulating endothelial cells, as indicated by the absence of other endothelial markers such as CD31 and CD51/61. CD146 functions as a calcium-independent cell adhesion molecule and may also act as a signal transduction molecule. It is involved in the recruitment of Fyn kinase and the subsequent tyrosine phosphorylation of intracellular proteins, which are important for actin cytoskeleton assembly. This signaling role includes triggering tyrosine phosphorylation of FYN and PTK2 and causing a transient increase in intracellular calcium concentration. In the context of cancer, CD146 expression may facilitate the interaction of melanoma cells with the vascular system, enhancing hematogenous tumor spread. Additionally, CD146 could serve as an adhesion molecule active in neural crest cells during embryonic development, highlighting its diverse roles in both normal physiological processes and disease states.
Specifications
| CD146 | |
| Monoclonal | |
| 1 mg/mL | |
| PBS with 40% glycerol and 0.02% sodium azide; pH 7.2 | |
| P43121 | |
| MCAM | |
| Recombinant protein fragment of Human MCAM (Product #RP-89988) | |
| 100 μL | |
| Primary | |
| Human | |
| Antibody | |
| IgG1 |
| Immunohistochemistry (Paraffin) | |
| CL12855 | |
| Unconjugated | |
| MCAM | |
| 1-gicerin; AV025631; CD146; CD149; Cell surface glycoprotein MUC18; cell surface glycoprotein P1H12; Gicerin; HEMCAM; l-gicerin; l-gicerin precursor; l-gicerin protein; LOW QUALITY PROTEIN: cell surface glycoprotein MUC18; MCAM; melanoma adhesion molecule; melanoma cell adhesion molecule; Melanoma-associated antigen A32; melanoma-associated antigen MUC18; Muc18; mucin-18; s-endo; S-endo 1 endothelial-associated antigen; s-gicerin; s-gicerin precursor | |
| Mouse | |
| Protein A | |
| RUO | |
| 4162 | |
| Store at 4°C short term. For long term storage, store at -20°C, avoiding freeze/thaw cycles. | |
| Liquid |
Product Content Correction
Your input is important to us. Please complete this form to provide feedback related to the content on this product.
Product Title
Spot an opportunity for improvement?Share a Content Correction