missing translation for 'onlineSavingsMsg'
Learn More
Learn More
Invitrogen™ BRSK1 Polyclonal Antibody

Rabbit Polyclonal Antibody
Brand: Invitrogen™ PA584515
This item is not returnable.
View return policy
Description
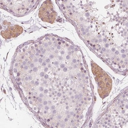
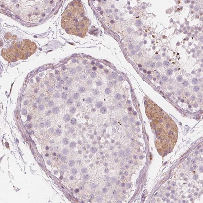
Immunogen sequence: VEPEKRLSLE QIQKHPWYLG GKHEPDPCLE PAPGRRVAMR SLPSNGELDP D Highest antigen sequence indentity to the following orthologs: Rat - 100%, Mouse - 100%.
BRSK1 (SAD1) is a serine/threonine kinase, and is a UV-induced DNA damage checkpoint kinase. BRSK1 is unbiquitously expressed, with highest levels of expression in the brain and testes. Similar to its yeast homolog, BRSK1 is thought to be involved in stress-induced cell cycle arrest. Overexpression of this protein leads to the G2/M arrest in HeLa S2 cells and UV-induced G2/M arrest could be partially abrogated by reduced expression of BRSK1 through the use of siRNA, indicating its role in DNA damage checkpoint function. More recently, it has been shown that both BRSK1 and the related protein BRSK2 are required for mammalian neuronal polarization. While BRSK1- and BRSK2-null mice were viable, double-mutant mice died within two hours of birth. Neurons from these mice showed uniformly-sized neurites as opposed to the normal long axon and multiple shorter dendrites. These neurites also displayed both axonal and dendritic markers. At least two isoforms of BRSK1 are known to exist.
Specifications
| BRSK1 | |
| Polyclonal | |
| Unconjugated | |
| Brsk1 | |
| BR serine/threonine kinase 1; BR serine/threonine-protein kinase 1; Brain-selective kinase 1; brain-specific serine/threonine-protein kinase 1; Brsk1; Gm1100; hSAD1; KIAA1811; protein kinase SAD1A; RGD1563268; SAD1; SAD1 homolog; SAD1 kinase; SAD1A; SADB; SAD-B; SadB kinase short isoform; serine/threonine kinase SADB; serine/threonine kinase SAD-B; serine/threonine-protein kinase BRSK1; Serine/threonine-protein kinase SAD-B; synapses of Amphids Defective homolog 1 | |
| Rabbit | |
| Antigen affinity chromatography | |
| RUO | |
| 84446 | |
| Store at 4°C short term. For long term storage, store at -20°C, avoiding freeze/thaw cycles. | |
| Liquid |
| Immunohistochemistry (Paraffin), Western Blot | |
| 0.1 mg/mL | |
| PBS with 40% glycerol and 0.02% sodium azide; pH 7.2 | |
| Q8TDC3 | |
| Brsk1 | |
| Recombinant protein corresponding to Human BRSK1. Recombinant protein control fragment (Product #RP-103421). | |
| 100 μL | |
| Primary | |
| Human | |
| Antibody | |
| IgG |
Product Content Correction
Your input is important to us. Please complete this form to provide feedback related to the content on this product.
Product Title
Spot an opportunity for improvement?Share a Content Correction