missing translation for 'onlineSavingsMsg'
Learn More
Learn More
Invitrogen™ B1 Bradykinin Receptor Polyclonal Antibody

Rabbit Polyclonal Antibody
Brand: Invitrogen™ PA5148223
This item is not returnable.
View return policy
Description
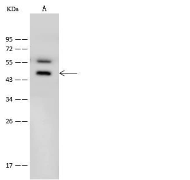
B1 Bradykinin Receptor Polyclonal Antibody for Western Blot
Bradykinin, a 9 aa peptide, is generated in pathophysiologic conditions such as inflammation, trauma, burns, shock, and allergy. Two types of G-protein coupled receptors have been found which bind bradykinin and mediate responses to these pathophysiologic conditions. The protein encoded by this gene is one of these receptors and is synthesized de novo following tissue injury. Receptor binding leads to an increase in the cytosolic calcium ion concentration, ultimately resulting in chronic and acute inflammatory responses.
Specifications
| B1 Bradykinin Receptor | |
| Polyclonal | |
| Unconjugated | |
| Bdkrb1 | |
| B1 bradykinin receptor; B1BKR; B1R; Bdkrb; BDKRB1; BDKRB2; Bk b1 receptor; BK-1 receptor; BKB1R; BKR; BKR1; BKRB1; BRADYB1; bradykinin B1 receptor; bradykinin receptor 1; bradykinin receptor B1; bradykinin receptor B2; bradykinin receptor, beta 1; KB1; kinin B1; kinin B1 receptor | |
| Rabbit | |
| Antigen Affinity Chromatography, Protein A | |
| RUO | |
| 623 | |
| Store at 4°C short term. For long term storage, store at -20°C, avoiding freeze/thaw cycles. | |
| Liquid |
| Western Blot | |
| 100 μg/mL | |
| PBS with 0.03% ProClin 300; pH 7 | |
| P46663 | |
| Bdkrb1 | |
| A synthetic peptide corresponding to the N-terminus of the Human BDKRB1. | |
| 100 μL | |
| Primary | |
| Human | |
| Antibody | |
| IgG |
Product Content Correction
Your input is important to us. Please complete this form to provide feedback related to the content on this product.
Product Title
Spot an opportunity for improvement?Share a Content Correction