missing translation for 'onlineSavingsMsg'
Learn More

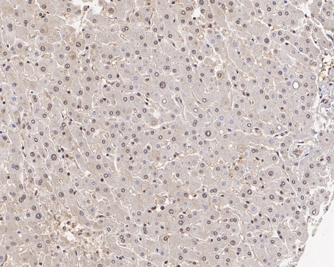
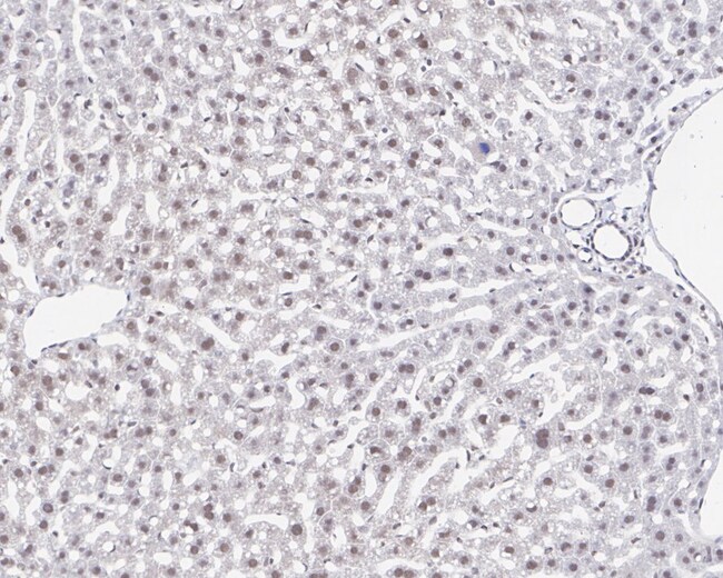
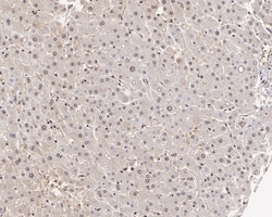
Invitrogen™ RAD23A Recombinant Rabbit Monoclonal Antibody (JE38-49)
GREENER_CHOICE

Product Code. 30276188
Change view
Click to view available options
Quantity:
100 μL
Unit Size:
100µL
1 product options available for selection
Product selection table with 1 available options. Use arrow keys to navigate and Enter or Space to select.
Product Code. Quantity unitSize
30276188 100 μL 100µL
Use arrow keys to navigate between rows. Press Enter or Space to select a product option. 1 options available.
1 options
This item is not returnable. View return policy
Product Code. 30276188 Supplier Invitrogen™ Supplier No. MA556551

Please to purchase this item. Need a web account? Register with us today!

This item is not returnable. View return policy

Rabbit Recombinant Monoclonal Antibody

RAD23A Recombinant Monoclonal Antibody for Western Blot, ICC/IF, IHC (P), Flow

The product of this gene is a small iron-sulfur protein that transfers electrons from NADPH through ferredoxin reductase to a terminal cytochrome P450. This particular oxidation/reduction system is found in steroidogenic tissues, and is involved with the synthesis of bile acid and vitamin D. In addition to the expressed gene at this chromosomal locus (11q22), there are pseudogenes located on chromosomes 20 and 21. This gene product has been identified in a number of different tissues but all forms have been shown to be identical and are not tissue specific.
TRUSTED_SUSTAINABILITY

Specifications

Antigen RAD23A
Applications Flow Cytometry, Immunohistochemistry (Paraffin), Western Blot, Immunocytochemistry
Classification Recombinant Monoclonal
Clone JE38-49
Concentration 1 mg/mL
Conjugate Unconjugated
Formulation TBS with 0.05% BSA, 40% glycerol and 0.05% sodium azide; pH 7.4
Gene RAD23A
Gene Accession No. P54725, P54726
Gene Alias 2310040P19Rik; AL024030; HHR23A; HR23A; MGC111083; Mhr23a; rad23; RAD23 homolog A (S. cerevisiae); RAD23 homolog A, nucleotide excision repair protein; RAD23, yeast homolog, A; RAD23A; RAD23a homolog (S. cerevisiae); UV excision repair protein RAD23 homolog A
Gene Symbols RAD23A
Host Species Rabbit
Immunogen Recombinant protein within human hhr23a aa 181-280/363.
Purification Method Protein A
Quantity 100 μL
Regulatory Status RUO
Primary or Secondary Primary
Gene ID (Entrez) 0, 19358, 361381, 5886
Target Species Human, Mouse, Rat, Monkey
Content And Storage Store at 4°C short term. For long term storage, store at -20°C, avoiding freeze/thaw cycles.
Product Type Antibody
Form Liquid
Isotype IgG
Show More Show Less
Product Title
Select an issue

By clicking Submit, you acknowledge that you may be contacted by Fisher Scientific in regards to the feedback you have provided in this form. We will not share your information for any other purposes. All contact information provided shall also be maintained in accordance with our Privacy Policy.