missing translation for 'onlineSavingsMsg'
Learn More
Learn More
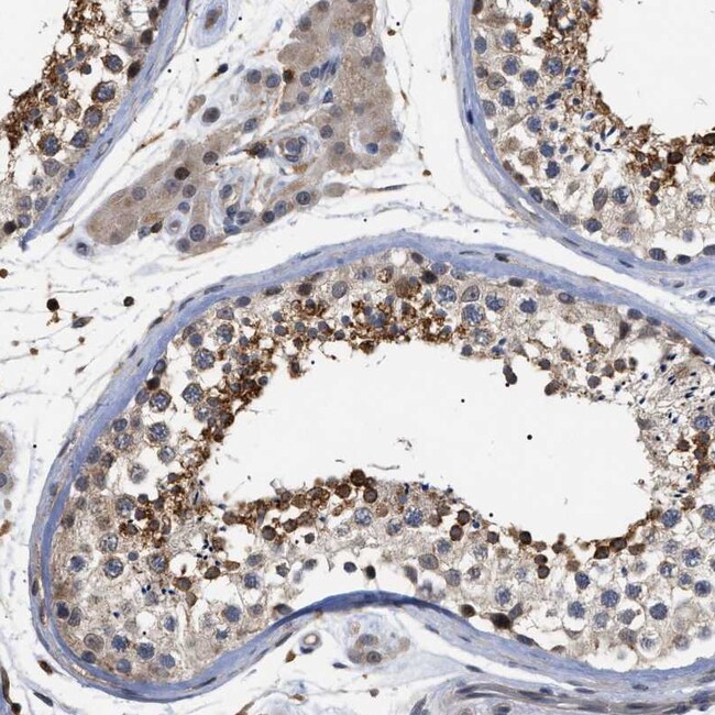
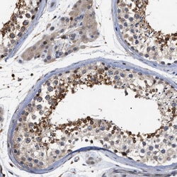
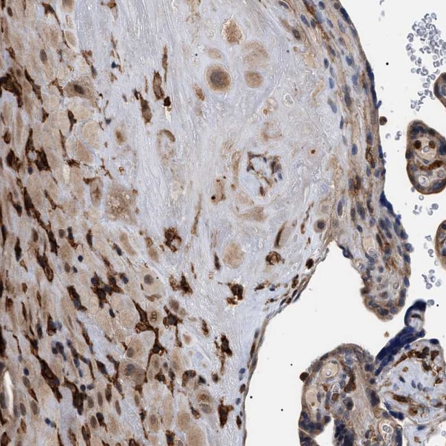
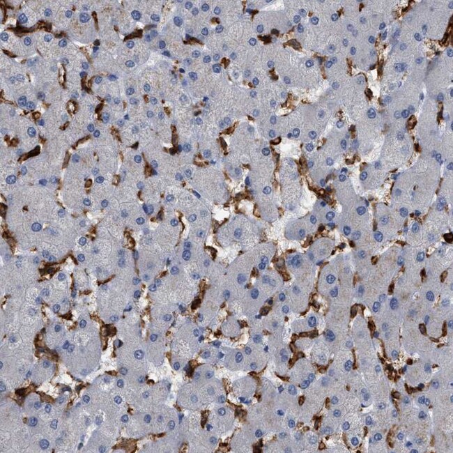
Invitrogen™ CD300a Polyclonal Antibody

Rabbit Polyclonal Antibody
Brand: Invitrogen™ PA582434
This item is not returnable.
View return policy
Description
Immunogen sequence: SGDHSELSQN PKQASPREEL HYASVVFDSN TNRIAAQRPR EEEPDSDYSV IRK Highest antigen sequence indentity to the following orthologs: Mouse - 31%, Rat - 41%.
The CMRF35 antigen (CMRF35A; MIM 606786), which was identified by reactivity with a monoclonal antibody, is present on monocytes, neutrophils, and some T and B lymphocytes. CMRF35H is recognized by the same antibody and is distinct from CMRF35 (Green et al., 1998 [PubMed 9701027]).
Specifications
| CD300a | |
| Polyclonal | |
| Unconjugated | |
| CD300A | |
| B230315M08Rik; CD300 antigen-like family member A; Cd300a; CD300a antigen; CD300a molecule; Clm8; CLM-8; CMRF35H; CMRF-35H; CMRF35-H; CMRF35H leukocyte immunoglobulin-like receptor; CMRF35H9; CMRF-35-H9; CMRF35-H9; CMRF35HIRp60; CMRF35-like molecule 8; HSPC083; IGSF12; Immunoglobulin superfamily member 12; inhibitory receptor protein 60; IRC1; IRC1/IRC2; IRC2; IRp60; leukocyte membrane antigen; leukocyte mono-Ig-like receptor 1; Lmir1; MAIR-1; MAIR-I; MAIR-Ia; Mast cell-derived paired immunoglobulin-like receptor 1; Mcipr1; mcpir1; MMAC8; myeloid-associated immunoglobulin-like receptor 1; NK inhibitory receptor; NKRL; Pigr4; polymeric immunoglobulin receptor 4 | |
| Rabbit | |
| Antigen affinity chromatography | |
| RUO | |
| 11314 | |
| Store at 4°C short term. For long term storage, store at -20°C, avoiding freeze/thaw cycles. | |
| Liquid |
| Immunohistochemistry (Paraffin) | |
| 0.1 mg/mL | |
| PBS with 40% glycerol and 0.02% sodium azide; pH 7.2 | |
| Q9UGN4 | |
| CD300A | |
| Recombinant protein fragment of Human CD300A (Product #RP-90441) | |
| 100 μL | |
| Primary | |
| Human | |
| Antibody | |
| IgG |
Product Content Correction
Your input is important to us. Please complete this form to provide feedback related to the content on this product.
Product Title
Spot an opportunity for improvement?Share a Content Correction