missing translation for 'onlineSavingsMsg'
Learn More

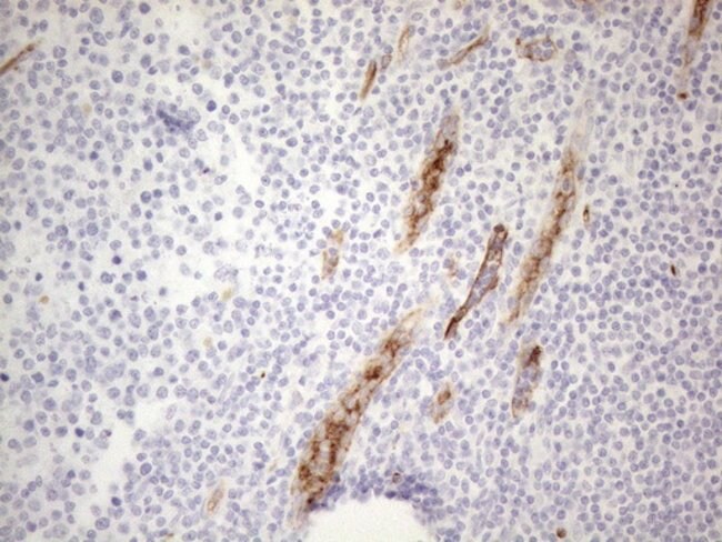
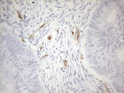
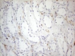
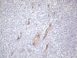
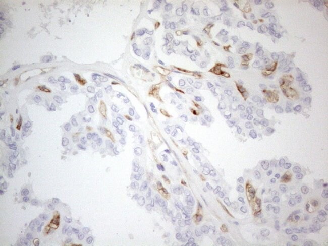
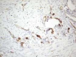
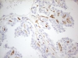
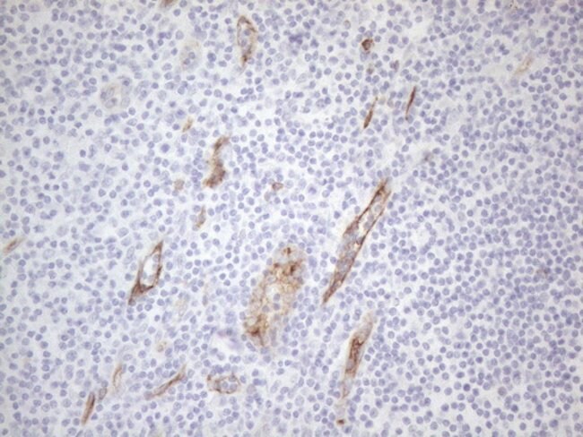
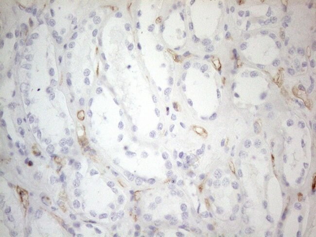
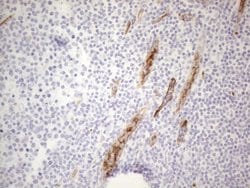
CD34 Monoclonal Antibody (OTI10C8), TrueMAB™, OriGene

Mouse Monoclonal Antibody

Brand:  Origene Technologies TA809229

Encompass_Preferred

 View more versions of this product

Product Code. 17541244

  • € 540.87 / 100µL

Please to purchase this item. Need a web account? Register with us today!

This item is not returnable. View return policy

Description

Description

CD34 is a highly glycosylated, monomeric, 111-115 kDa surface protein that is present on many stem cell populations. CD34 is a stem cell marker although its expression on human hematopoietic stem cells is reversible. CD34 may serve as a surface receptor that undergoes receptor-mediated endocytosis and regulates adhesion, differentiation, and proliferation of hematopoietic stem cells and other progenitors. CD34 expression is likely to represent a specific state of hematopoietic development that may have altered adhering properties with expanding and differentiating capabilities in both in vitro and in vivo conditions. CD34 is possibly an adhesion molecule with a putative role for mediating the attachment of stem cells to the bone marrow extracellular matrix or directly to stromal cells. Further, CD34 could act as a scaffold for the attachment of lineage specific glycans, allowing stem cells to bind to lectins expressed by stromal cells or other marrow components. CD34 is thought to have a role in presenting carbohydrate ligands to selectins. The intracellular chain of the CD34 antigen is a site of phosphorylation by activated protein kinase C suggesting a putative role in signal transduction. Diseases associated with CD34 dysfunction include dermatofibrosarcoma and neurofibroma.
Specifications

Specifications

CD34
Monoclonal
Unconjugated
CD34
CD34 molecule
Mouse
Affinity Chromatography
RUO
947
-20° C, Avoid Freeze/Thaw Cycles
Liquid
Immunohistochemistry (Paraffin)
OTI10C8
PBS with 1% BSA, 50% glycerol and 0.02% sodium azide
P28906
CD34
Human recombit protein fragment corresponding to amino acids 312-385 of human CD34 produced in E.coli.
100 μL
Primary
Human
Antibody
IgG1
Product Suggestions

Product Suggestions

Videos
SDS
Documents

Documents

Certificates
Promotions

Promotions

Product Content Correction

The Fisher Scientific Encompass Program offers items which are not part of our distribution portfolio. These products typically do not have pictures or detailed descriptions. However, we are committed to improving your shopping experience. Please use the form below to provide feedback related to the content on this product.

Product Title

By clicking Submit, you acknowledge that you may be contacted by Fisher Scientific in regards to the feedback you have provided in this form. We will not share your information for any other purposes. All contact information provided shall also be maintained in accordance with our Privacy Policy.

Thank You! Your feedback has been submitted. Fisher Scientific is always working to improve our content for you. We appreciate your feedback.