missing translation for 'onlineSavingsMsg'
Learn More

CD40 Mouse anti-Human, Clone: UMAB255, liquid, UltraMAB™

Mouse Monoclonal Antibody

Brand:  Origene Technologies UM800145

Encompass_Preferred

Product Code. 17550015

  • € 738.10 / 100µL

Please to purchase this item. Need a web account? Register with us today!

This item is not returnable. View return policy

Description

Description

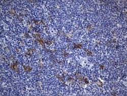
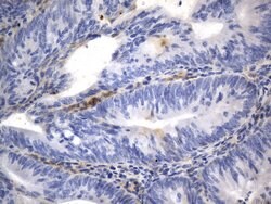
The CD40 antigen is a single chain glycoprotein that is known to be a member of the tumor necrosis factor/nerve growth factor superfamily and shows a significant homology to the Hodgkin′s disease associated antigen, CD30. CD40 is present on all B cells except plasma cells and is also found on some epithelial cells, carcinomas and lymphoid dendritic cells. CD40 has been found to be essential in mediating a broad variety of immune and inflammatory responses including T cell-dependent immunoglobulin class switching, memory B cell development, and germinal center formation. AT-hook transcription factor AKNA is reported to coordinately regulate the expression of CD40, which may be important for homotypic cell interactions. Adaptor protein TNFR2 interacts with CD40 and serves as a mediator of the signal transduction. The interaction of CD40 and its ligand is found to be necessary for amyloid-beta-induced microglial activation, and thus is thought to be an early event in Alzheimer disease pathogenesis. Two alternatively spliced transcript variants of CD40 encoding distinct isoforms have been reported. Diseases associated with CD40 dysfunction include Type 3 Hyper-Igm immunodeficiency and CD40 ligand deficiency.
Specifications

Specifications

CD40
Monoclonal
0.5-1.0 mg/mL
PBS with 1% BSA, 50% glycerol and 0.02% sodium azide
P25942
CD40
Human recombit protein fragment corresponding to amino acids 21-166 of human CD40 produced in E.coli.
100 μL
Primary
Human
Antibody
IgG1
Immunohistochemistry (Paraffin), Western Blot
UMAB255
Unconjugated
CD40
Bp50, CDW40, TNFRSF5, p50
Mouse
Affinity Chromatography
RUO
958
-20° C, Avoid Freeze/Thaw Cycles
Liquid
Product Suggestions

Product Suggestions

Videos
SDS
Documents

Documents

Certificates
Promotions

Promotions

Product Content Correction

The Fisher Scientific Encompass Program offers items which are not part of our distribution portfolio. These products typically do not have pictures or detailed descriptions. However, we are committed to improving your shopping experience. Please use the form below to provide feedback related to the content on this product.

Product Title

By clicking Submit, you acknowledge that you may be contacted by Fisher Scientific in regards to the feedback you have provided in this form. We will not share your information for any other purposes. All contact information provided shall also be maintained in accordance with our Privacy Policy.

Thank You! Your feedback has been submitted. Fisher Scientific is always working to improve our content for you. We appreciate your feedback.