missing translation for 'onlineSavingsMsg'
Learn More
Learn More
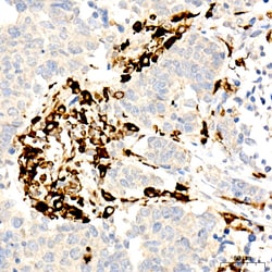
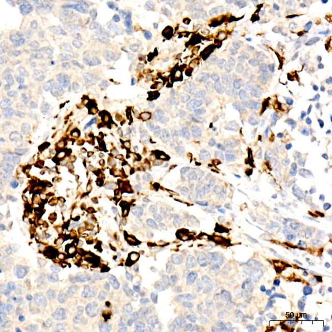
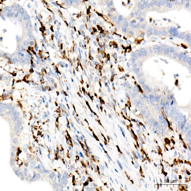
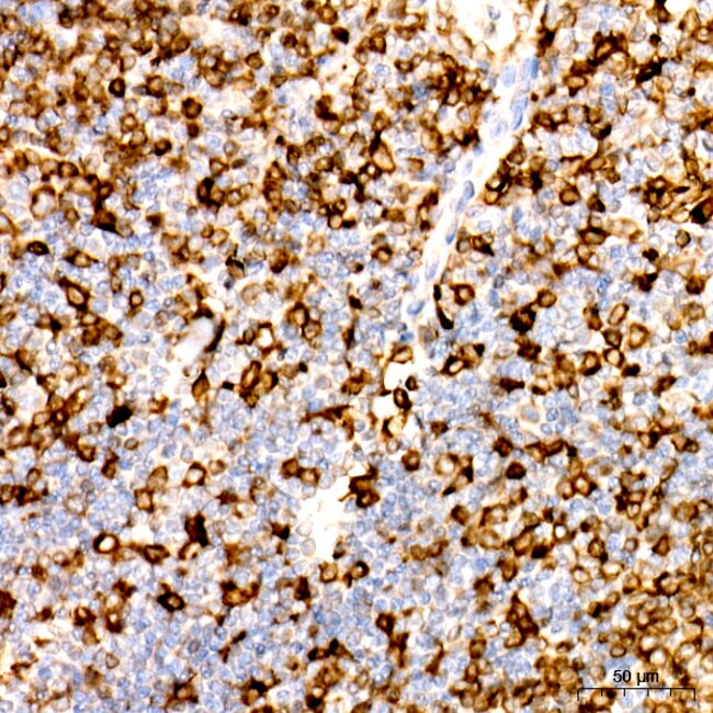
Invitrogen™ CD74 Recombinant Rabbit Monoclonal Antibody (2M8H5)

Rabbit Recombinant Monoclonal Antibody
Brand: Invitrogen™ MA535766
This item is not returnable.
View return policy
Description
Immunogen sequence: MHRRRSRSCR EDQKPVMDDQ RDLISNNEQL PMLGRRPGAP ESKCSRGALY TGFSILVTLL LAGQATTAYF LYQQQGRLDK LTVTSQNLQL ENLRMKLPKP.
HLA-DR, like other MHC class II molecules, is a transmembrane glycoprotein composed of a 36 kDa alpha chain (DRA) and 27 kDa beta chain (DRB). The alpha chain gene contains 5 exons. Exon 1 encodes the leader peptide, exons 2 and 3 encode the two extracellular domains, and exon 4 encodes the transmembrane domain and the cytoplasmic tail. DRA does not have polymorphisms in the peptide binding part and acts as the sole alpha chain for DRB1, DRB3, DRB4 and DRB5. Within the DR molecule the beta chain contains all the polymorphisms specifying the peptide binding specificities. Hundreds of DRB1 alleles have been described and typing for these polymorphisms is routinely done for bone marrow and kidney transplantation. HLA-DR is expressed primarily on antigen presenting cells such as B lymphocytes, monocytes, macrophages, thymic epithelial cells and activated T lymphocytes. Three loci, DR, DQ and DP, encode the major expressed products of the human class II region. The human MHC class II molecules bind intracellularly processed peptides, present them to T-helper cells, and have a critical role in the initiation of the immune response.
Specifications
| CD74 | |
| Recombinant Monoclonal | |
| 0.8 mg/mL | |
| PBS with 50% glycerol, 0.05% BSA and 0.02% sodium azide; pH 7.3 | |
| P04233 | |
| CD74 | |
| Synthetic peptide. | |
| 100 μL | |
| Primary | |
| Human | |
| Antibody | |
| IgG |
| ELISA, Immunohistochemistry (Paraffin), Western Blot | |
| 2M8H5 | |
| Unconjugated | |
| CD74 | |
| CD74; CD74 antigen; CD74 antigen (invariant polypeptide of major histocompatibility complex, class II antigen-associated); CD74 molecule; Cd74 molecule, major histocompatibility complex, class II invariant chain; class II-associated invariant chain peptide; CLIP; DHLAG; dinucleotide microsatellite; gamma chain of class II antigens; H-2 class II histocompatibility antigen gamma chain; histocompatibility: class II antigens, gamma chain of; HLA class II histocompatibility antigen gamma chain; HLADG; HLA-DR antigens-associated invariant chain; HLA-DR-gamma; ia antigen-associated invariant chain; Ia-associated invariant chain; Ia-GAMMA; Ii; invariant polypeptide of major histocompatibility complex, class II antigen-associated; INVG34; MHC class II-associated invariant chain; MHC HLA-DR gamma chain; p33 | |
| Rabbit | |
| Affinity Chromatography | |
| RUO | |
| 972 | |
| -20°C, Avoid Freeze/Thaw Cycles | |
| Liquid |
Product Content Correction
Your input is important to us. Please complete this form to provide feedback related to the content on this product.
Product Title
Spot an opportunity for improvement?Share a Content Correction