missing translation for 'onlineSavingsMsg'
Learn More

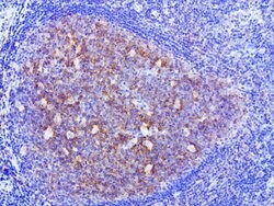
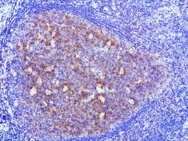
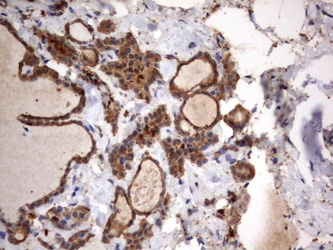
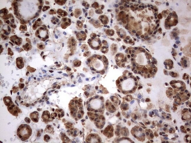
HMBS Mouse anti-Human, Clone: UMAB144, lyophilized, UltraMAB™

Mouse Monoclonal Antibody

Brand:  Origene Technologies UM800041CF

Encompass_Preferred

Product Code. 17559814

  • € 794.97 / 100µg

Please to purchase this item. Need a web account? Register with us today!

This item is not returnable. View return policy

Description

Description

Reconstitute with PBS (pH 7.3) and recommend to perform another round of desalting process using Product No. 7KMWCO

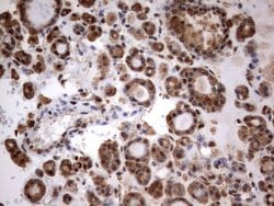
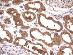
PBGD (porphobilinogen deaminase), also designated hydroxymethylbilane synthase, is a cytoplasmic enzyme found in the heme synthesis pathway. PBGD belongs to the HMBS (hydroxymethylbilane synthase) family. Deficiency of PBGD causes errors in pyrrole metabolism, which in turn leads to an inherited autosomal disorder called acute intermittent porphyria (AIP). AIP is characterized by acute attacks of neurological dysfunctions with hypertension, tachycardia, peripheral neurologic disturbances, abdominal pain and excessive amounts of aminolevulinic acid and porphobilinogen in the urine.
Specifications

Specifications

HMBS
Monoclonal
Unconjugated
HMBS
PBG-D, PBGD, PORC, UPS
Mouse
Affinity Chromatography
RUO
3145
-20° C, Avoid Freeze/Thaw Cycles
Lyophilized
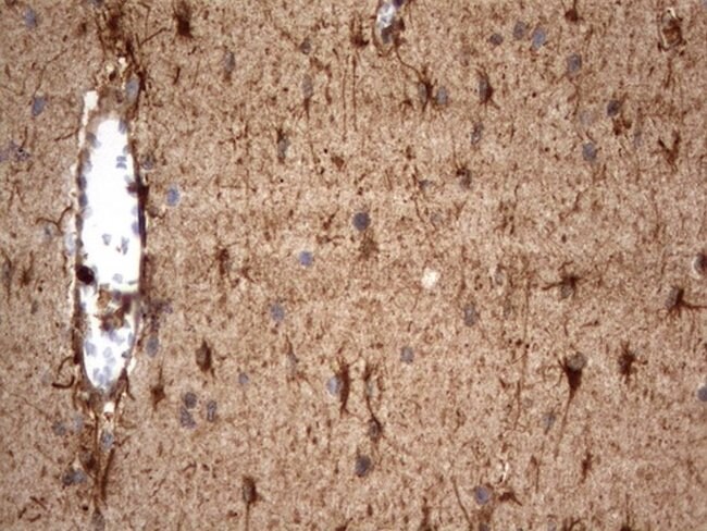
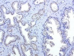
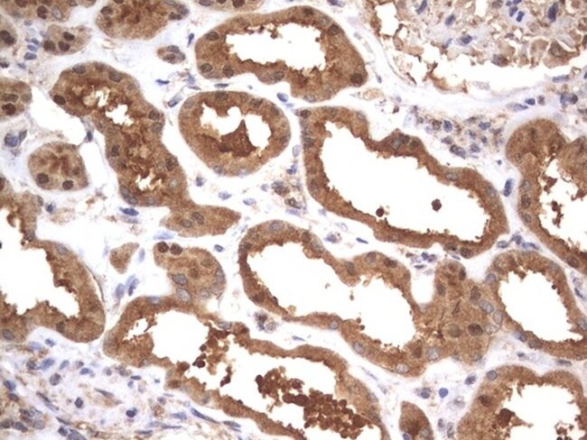
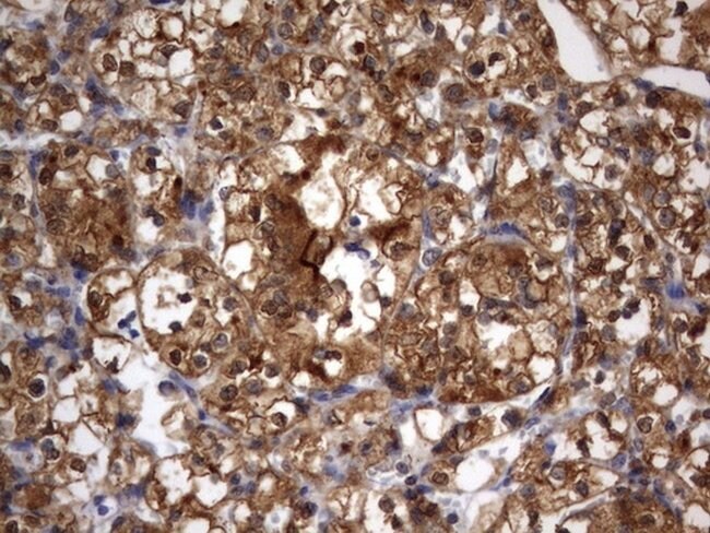
Immunohistochemistry (Paraffin), Western Blot
UMAB144
PBS with 8% trehalose and no preservative; pH 7.3
P08397
HMBS
Full length human recombit protein of human HMBS produced in HEK293T cell.
100 μg
Primary
Human
Antibody
IgG1
Product Suggestions

Product Suggestions

Videos
SDS
Documents

Documents

Certificates
Promotions

Promotions

Product Content Correction

The Fisher Scientific Encompass Program offers items which are not part of our distribution portfolio. These products typically do not have pictures or detailed descriptions. However, we are committed to improving your shopping experience. Please use the form below to provide feedback related to the content on this product.

Product Title

By clicking Submit, you acknowledge that you may be contacted by Fisher Scientific in regards to the feedback you have provided in this form. We will not share your information for any other purposes. All contact information provided shall also be maintained in accordance with our Privacy Policy.

Thank You! Your feedback has been submitted. Fisher Scientific is always working to improve our content for you. We appreciate your feedback.