missing translation for 'onlineSavingsMsg'
Learn More
Learn More
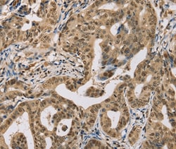
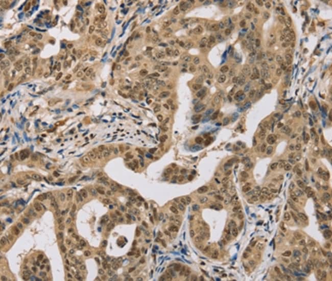
Invitrogen™ CENPV Polyclonal Antibody

Rabbit Polyclonal Antibody
Brand: Invitrogen™ PA550735
This item is not returnable.
View return policy
Description
The antibody detects endogenous levels of total CENPV protein.
CENPV orthologs were detected in a range of species, including plants, but the proline-rich region was detected only in primates, rodents, birds, and amphibians, and long proline stretches were found only in primates. Northern blot analysis showed ubiquitous Cenpv expression in mouse tissues, with highest expression in testis, followed by small intestine, brain, and kidney. Immunofluorescence microscopy of mouse fibroblasts revealed colocalization of Cenpv with stabilized cytoplasmic microtubules. Western blot analysis of Ramos B cells detectedCENPV at an apparent molecular mass of 40 kD.
Specifications
| CENPV | |
| Polyclonal | |
| Unconjugated | |
| CENPV | |
| 3110013H01Rik; AA671303; Cenpv; CENP-V; Centromere protein V; nuclear protein p30; p30; proline rich 6; proline-rich polypeptide 6; proline-rich protein 6; Prr6; RGD1565681 | |
| Rabbit | |
| Antigen affinity chromatography | |
| RUO | |
| 201161 | |
| -20°C | |
| Liquid |
| Immunohistochemistry (Paraffin), Western Blot | |
| 1.9 mg/mL | |
| PBS with 40% glycerol and 0.05% sodium azide; pH 7.4 | |
| Q7Z7K6 | |
| CENPV | |
| Synthetic peptide corresponding to residues near the C terminal of human centromere protein V. | |
| 100 μL | |
| Primary | |
| Human | |
| Antibody | |
| IgG |
Product Content Correction
Your input is important to us. Please complete this form to provide feedback related to the content on this product.
Product Title
Spot an opportunity for improvement?Share a Content Correction